Melanotic choroid plexus carcinoma of the posterior fossa
- PMID: 21779301
- PMCID: PMC3131537
- DOI: 10.3988/jcn.2011.7.2.105
Melanotic choroid plexus carcinoma of the posterior fossa
Abstract
Background: The pigmented or melanotic variant of choroid plexus carcinoma is very rarely encountered.
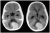
Case report: We report herein a case of melanotic or pigmented choroid plexus carcinoma in the posterior fossa of an 11-year-old female.
Conclusions: A histopathological study supported by immunohistochemistry helped the authors to diagnose this rare entity. How to differentiate this tumor from pigmented papillary medulloblastoma, cerebellar papillary ependymoma, and metastatic malignant melanoma is discussed.
Keywords: HMB-45; choroid plexus carcinoma; melanin; posterior fossa.
Conflict of interest statement
The authors have no financial conflicts of interest.
Figures
References
-
- Lana-Peixoto MA, Lagos J, Silbert SW. Primary pigmented carcinoma of the choroid plexus. A light and electron microscopic study. J Neurosurg. 1977;47:442–450. - PubMed
-
- Dohrmann GJ, Collias JC. Choroid plexus carcinoma. J Neurosurg. 1975;43:225–232. - PubMed
-
- Boesel CP, Suhan JP. A pigmented choroid plexus carcinoma: histochemical and ultrastructural studies. J Neuropathol Exp Neurol. 1979;38:177–186. - PubMed
-
- Barreto AS, Vassallo J, Queiroz Lde S. Papillomas and carcinomas of the choroid plexus: histological and immunohistochemical studies and comparison with normal fetal choroid plexus. Arq Neuropsiquiatr. 2004;62:600–607. - PubMed
-
- Yamazaki S, Ito U, Tomita H, Takada Y, Inaba Y, Okeda R. [Melanosis of choroid plexus papilloma of the lateral ventricle: a case report] No Shinkei Geka. 1987;15:1033–1037. - PubMed
LinkOut - more resources
Full Text Sources
