Desmoid tumor of the abdominal wall: a case report
- PMID: 21787413
- PMCID: PMC3162920
- DOI: 10.1186/1752-1947-5-326
Desmoid tumor of the abdominal wall: a case report
Abstract
Introduction: Desmoid tumors are rare lesions without any metastatic potential but a strong tendency to invade locally and to recur. These tumors are associated with women of fertile age, especially during and after pregnancy.
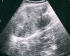
Case presentation: The case of a desmoid tumor of the anterior abdominal wall in a 40-year-old Caucasian man with no relevant family history is presented, describing its appearance on computed tomography and ultrasonography. The patient, who presented with a painless mass in the left anterolateral abdomen, had a history of previous urgent abdominal surgery after a shotgun injury two years earlier. Radical resection of the affected abdominal wall musculature was performed, and the defect was reconstructed with polypropylene mesh.
Conclusion: The diagnosis of desmoid tumor should be strongly considered even in male patients with an abdominal mass and a history of previous abdominal surgery. The goal of its treatment is complete tumor excision and avoidance of the development of complications such as hernia.
Figures
References
LinkOut - more resources
Full Text Sources
