Biotinylated quercetin as an intrinsic photoaffinity proteomics probe for the identification of quercetin target proteins
- PMID: 21798748
- PMCID: PMC3397245
- DOI: 10.1016/j.bmc.2011.07.005
Biotinylated quercetin as an intrinsic photoaffinity proteomics probe for the identification of quercetin target proteins
Abstract
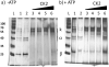
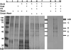
Quercetin is a flavonoid natural product, that is, found in many foods and has been found to have a wide range of medicinal effects. Though a number of quercetin binding proteins have been identified, there has been no systematic approach to identifying all potential targets of quercetin. We describe an O7-biotinylated derivative of quercetin (BioQ) that can act as a photoaffinity proteomics reagent for capturing quercetin binding proteins, which can then be identified by LC-MS/MS. BioQ was shown to inhibit heat induction of HSP70 with almost the same efficiency as quercetin, and to both inhibit and photocrosslink to CK2 kinase, a known target of quercetin involved in activation of the heat shock transcription factor. BioQ was also able to pull down a number of proteins from unheated and heated Jurkat cells following UV irradiation that could be detected by both silver staining and Western blot analysis with an anti-biotin antibody. Analysis of the protein bands by trypsinization and LC-MS/MS led to the identification of heat shock proteins HSP70 and HSP90 as possible quercetin target proteins, along with ubiquitin-activating enzyme, a spliceosomal protein, RuvB-like 2 ATPases, and eukaryotic translation initiation factor 3. In addition, a mitochondrial ATPase was identified that has been previously shown to be a target of quercetin. Most of the proteins identified have also been previously suggested to be potential anticancer targets, suggesting that quercetin's antitumor activity may be due to its ability to inhibit multiple target proteins.
Copyright © 2011 Elsevier Ltd. All rights reserved.
Figures
 
              
              
              
              
                
                
                 
              
              
              
              
                
                
                 
              
              
              
              
                
                
                 
              
              
              
              
                
                
                 
              
              
              
              
                
                
                 
              
              
              
              
                
                
                 
              
              
              
              
                
                
                References
Publication types
MeSH terms
Substances
Grants and funding
LinkOut - more resources
- Full Text Sources
- Other Literature Sources
- Chemical Information
- Medical
 
        