Skip to main page content
U.S. flag

An official website of the United States government

Dot gov

The .gov means it’s official.
Federal government websites often end in .gov or .mil. Before sharing sensitive information, make sure you’re on a federal government site.

Https

The site is secure.
The https:// ensures that you are connecting to the official website and that any information you provide is encrypted and transmitted securely.

Access keys NCBI Homepage MyNCBI Homepage Main Content Main Navigation
. 2011 Oct;32(9):1640-5.
doi: 10.3174/ajnr.A2564. Epub 2011 Jul 28.

Regional leptomeningeal score on CT angiography predicts clinical and imaging outcomes in patients with acute anterior circulation occlusions

Affiliations

Regional leptomeningeal score on CT angiography predicts clinical and imaging outcomes in patients with acute anterior circulation occlusions

B K Menon et al. AJNR Am J Neuroradiol. 2011 Oct.

Abstract

Background and purpose: The regional leptomeningeal score is a strong and reliable imaging predictor of good clinical outcomes in acute anterior circulation ischemic strokes and can therefore be used for imaging based patient selection. Efforts to determine biological determinants of collateral status are needed if techniques to alter collateral behavior and extend time windows are to succeed.

Materials and methods: This was a retrospective Institutional Review Board-approved study of patients with acute ischemic stroke and M1 middle cerebral artery+/- intracranial internal carotid artery occlusion at our center from 2003 to 2009. The rLMC score is based on scoring pial and lenticulostriate arteries (0, no; 1, less; 2, equal or more prominent compared with matching region in opposite hemisphere) in 6 ASPECTS regions (M1-6) plus anterior cerebral artery region and basal ganglia. Pial arteries in the Sylvian sulcus are scored 0, 2, or 4. Good clinical outcome was defined as mRS ≤ 2 at 90 days.

Results: The analysis included 138 patients: 37.6% had a good (17-20), 40.5% a medium (11-16), and 21.7% a poor (0-10) rLMC score. Interrater reliability was high, with an intraclass correlation coefficient of 0.87 (95% CI, 0.77%-0.95%). On univariate analysis, no single vascular risk factor was associated with the presence of poor rLMCs (P ≥ .20 for all comparisons). In multivariable analysis, the rLMC score (good versus poor: OR, 16.7; 95% CI, 2.9%-97.4%; medium versus poor: OR, 9.2, 95% CI, 1.7%-50.6%), age (< 80 years), baseline ASPECTS (≥ 8), and clot burden score (≥ 8) were independent predictors of good clinical outcome.

Conclusions: The rLMC score is a strong imaging parameter on CT angiography for predicting clinical outcomes in patients with acute ischemic strokes.

PubMed Disclaimer

Figures

Fig 1.
Fig 1.
A, rLMC score is based on scoring pial and lenticulostriate arteries (0, no; 1, less; 2, equal or more prominent compared with matching region in opposite hemisphere) in 6 ASPECTS regions (M1–6) plus anterior cerebral artery region and basal ganglia. Pial arteries in the Sylvian sulcus are scored 0, 2, or 4. B, Left M1 MCA occlusion with prominent retrograde opacification of the pial arteries to the distal end of thrombus. rLMC score is 19. C, Right carotid “T occlusion” with patent ipsilateral A2 ACA segment and poor visualization of pial arteries in the right frontal and parietal regions. Note backfilling of pial arteries in the Sylvian sulcus with prominent well-visualized arteries in the temporal regions. Assessment of collateral status based on comparison of arteries in Sylvian sulcus alone suggests good PCA to MCA collaterals in the temporal regions and does not account for the poor PCA to ACA and ACA to MCA collaterals in the frontoparietal regions. rLMC score is 8. D, Left M1 MCA occlusion with poor leptomeningeal collateral status. All regions have less prominent or absent arteries. rLMC score is 7.
Fig 2.
Fig 2.
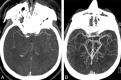
A, CTA showing occlusion of distal right M1 MCA. Poor contrast opacification of pial arteries even on the normal side (left) makes estimation of leptomeningeal collateral status difficult. B, Greater contrast opacification of the ipsilateral basal vein of Rosenthal than the MCA in a patient with occlusion of the distal left M1 MCA. Delayed triggering as evidenced by excessive venous contamination can result in overestimating collateral status.
Fig 3.
Fig 3.
Relationship between IA therapy and good outcome according to collateral score category (n = 133; 5 were excluded for baseline mRS >2). Cochran-Mantel-Haenszel test for homogeneity of ORs, P = .16.

References

    1. Brozici M, van der Zwan A, Hillen B. Anatomy and functionality of leptomeningeal anastomoses: a review. Stroke 2003; 34: 2750–62 - PubMed
    1. Liebeskind DS. Collateral circulation. Stroke 2003; 34: 2279–84 - PubMed
    1. Liebeskind DS. Stroke: the currency of collateral circulation in acute ischemic stroke. Nat Rev Neurol 2009; 5: 645–46 - PubMed
    1. Coyle P, Jokelainen PT. Dorsal cerebral arterial collaterals of the rat. Anat Rec 1982; 203: 397–404 - PubMed
    1. Reina-De La Torre F, Rodriguez-Baeza A, Sahuquillo-Barris J. Morphological characteristics and distribution pattern of the arterial vessels in human cerebral cortex: a scanning electron microscope study. Anat Rec 1998; 251: 87–96 - PubMed

Publication types

MeSH terms