Skip to main page content
U.S. flag

An official website of the United States government

Dot gov

The .gov means it’s official.
Federal government websites often end in .gov or .mil. Before sharing sensitive information, make sure you’re on a federal government site.

Https

The site is secure.
The https:// ensures that you are connecting to the official website and that any information you provide is encrypted and transmitted securely.

Access keys NCBI Homepage MyNCBI Homepage Main Content Main Navigation
. 2011 Aug;17(8):1519-22.
doi: 10.3201/eid1708.110201.

Novel lyssavirus in Natterer's bat, Germany

Affiliations

Novel lyssavirus in Natterer's bat, Germany

Conrad M Freuling et al. Emerg Infect Dis. 2011 Aug.

Abstract

A virus isolated from a Natterer's bat (Myotis nattererii) in Germany was differentiated from other lyssaviruses on the basis of the reaction pattern of a panel of monoclonal antibodies. Phylogenetic analysis supported the assumption that the isolated virus, Bokeloh bat lyssavirus, may represent a new member of the genus Lyssavirus.

PubMed Disclaimer

Figures

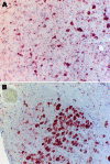
Figure 1
Figure 1
Immunohistochemical analysis of brain of Natterer’s bat for lyssavirus antigen by using the avidin biotin complex method. A) Cerebrum showing a large number of neurons. Cytoplasmic granular-to-diffuse staining for rabies antigen is visible in the perikarya and neuronal processus. B) Medulla and neurons of the nucleus funiculi lateralis showing strong cytoplasmic staining for rabies antigen. Original magnifications ×20.
Figure 2
Figure 2
Phylogenetic tree inferred from concatenated N-P-M-G-L sequences of bat lyssaviruses. The neighbor-joining method (Kimura 2-parameter) was used as implemented in MEGA4 software (www.megasoftware.net). Bootstrap values (500 replicates) are shown next to branches. Scale bar indicates nucleotide substitutions per site. Virus isolated in this study is shown in boldface. RABV, rabies virus; ABLV, Australian bat lyssavirus; ARAV, Aravan virus; KHUV, Khujand virus; BBLV, Bokeloh bat lyssavirus; European bat lyssavirus; IRKV, Irkut virus; DUVV, Duvenhage virus; SHIBV, Shimoni bat virus; LBV, Lagos bat virus; MOKV, Mokola virus; WCBV, West Caucasian bat virus.

References

    1. Calisher CH, Childs JE, Field HE, Holmes KV, Schountz T. Bats: important reservoir hosts of emerging viruses. Clin Microbiol Rev. 2006;19:531–45. 10.1128/CMR.00017-06 - DOI - PMC - PubMed
    1. Dietzgen RG, Calisher CH, Kurath G, Kuzmin IV, Rodriguez LL, Stone DM, et al. Family Rhabdoviridae. In: King AM, Adams MJ, Carstens EB, Lefkowitz EJ, editors. Virus taxonomy: classification and nomenclature of viruses. Ninth Report of the International Committee on Taxonomy of Viruses. San Diego: Elsevier; 2011. In press.
    1. Kuzmin IV, Mayer AE, Niezgoda M, Markotter W, Agwanda B, Breiman RF, et al. Shimoni bat virus, a new representative of the Lyssavirus genus. Virus Res. 2010;149:197–210. 10.1016/j.virusres.2010.01.018 - DOI - PubMed
    1. Johnson N, Vos A, Freuling C, Tordo N, Fooks A, Muller T. Human rabies due to lyssavirus infection of bat origin. Vet Microbiol. 2010;142:151–9. 10.1016/j.vetmic.2010.02.001 - DOI - PubMed
    1. King AA, Haagsma J, Kappeler A. Lyssavirus infections in European bats. In: King AA, Fooks AR, Aubert M, Wandeler AI, editors. Historical perspective of rabies in Europe and the Mediterranean Basin: a testament to rabies by Dr Arthur A. King, 2004. Paris: World Organisation for Animal Health; 2004. p. 221–41.

Publication types

LinkOut - more resources