Complement factor H 402H variant and reticular macular disease
- PMID: 21825189
- PMCID: PMC3767386
- DOI: 10.1001/archophthalmol.2011.212
Complement factor H 402H variant and reticular macular disease
Abstract
Objective: To determine the association of high-risk alleles in the complement factor H (CFH; Y402H, rs1061170) and age-related maculopathy susceptibility (ARMS2; A69S, rs10490924) genes with reticular macular disease (RMD), a major clinical subphenotype of age-related macular degeneration (AMD).
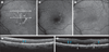
Methods: Using retinal images from the Columbia Macular Genetics Study, we identified 67 subject individuals with RMD. A comparison group of 64 subjects with AMD without RMD was matched by ethnicity, age, sex, and AMD clinical stage.
Results: In the RMD group, 53 of 67 subjects (79.1%) were female, the mean age was 83 years, and 47 of 67 (70.1%) had late AMD, with closely matched values in the non-RMD group. The frequencies of the CFH 402H allele were 39.6% in the RMD group (53 of 134 individuals) and 58.6% in the non-RMD group (75 of 128 individuals) (χ(2) = 8.8; P = .003; odds ratio, 0.46 [95% confidence interval, 0.28-0.76]). The corresponding frequencies of the risk allele for ARMS2 were 44.0% (40 of 128 individuals) and 31.3% (40 of 128 individuals), respectively (χ(2) = 4.0; P = .045; odds ratio, 1.73 [95% confidence interval, 1.04-2.90]). Homozygosity for 402H was particularly associated with the absence of RMD, occurring in 8 of 67 subjects (11.9%) with RMD vs 24 of 64 subjects (37.5%) without RMD (P < .001). Retinal macular disease also was associated with hypertension among male patients.
Conclusions: The AMD-associated CFH 402H risk variant is significantly associated with the absence of RMD but enhanced risk for RMD is conferred by the ARMS2 69S AMD risk allele. These results are consistent with the hypothesis that 402H may confer a survival benefit against certain infections, some of which may cause RMD.
Clinical relevance: Reticular macular disease may be genetically distinct from the rest of AMD.
Figures

References
-
- Haines JL, Hauser MA, Schmidt S, et al. Complement factor H variant increases the risk of age-related macular degeneration. Science. 2005;308(5720):419–421. - PubMed
-
- Edwards AO, Ritter R, III, Abel KJ, Manning A, Panhuysen C, Farrer LA. Complement factor H polymorphism and age-related macular degeneration. Science. 2005;5720;308:421–424. - PubMed
-
- Rivera A, Fisher SA, Fritsche LG, et al. Hypothetical LOC387715 is a second major susceptibility gene for age-related macular degeneration, contributing independently of complement factor H to disease risk. Hum Mol Genet. 2005;14(21):3227–3236. - PubMed
Publication types
MeSH terms
Substances
Grants and funding
LinkOut - more resources
Full Text Sources
Medical
Miscellaneous