Infective endocarditis with Lactococcus garvieae in Japan: a case report
- PMID: 21827685
- PMCID: PMC3170869
- DOI: 10.1186/1752-1947-5-356
Infective endocarditis with Lactococcus garvieae in Japan: a case report
Abstract
Introduction: Lactococcus garvieae is a well-recognized fish pathogen, and it is considered a rare pathogen with low virulence in human infection. We describe the 11th case of L. garvieae infective endocarditis reported in the literature, and the first reported case in Japan.
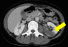
Case presentation: We report a case of a 55-year-old Japanese woman who had native valve endocarditis with L. garvieae. The case was complicated by renal infarction, cerebral infarction, and mycotic aneurysms. After anti-microbial treatment, she was discharged from the hospital and is now well while being monitored in the out-patient clinic.
Conclusion: We encountered a case of L. garvieae endocarditis that occurred in a native valve of a healthy woman. The 16S ribosomal RNA gene sequencing was useful for the identification of this pathogen. Although infective endocarditis with L. garvieae is uncommon, it is possible to treat high virulence clinically.
Figures
References
-
- Collins MD, Farrow JAE, Phillips BA, Kandler O. Streptococcus garvieae sp. nov. and Streptococcus plantarum sp. nov. J Gen Microbiol. 1983;129:3427–3431. - PubMed
-
- Furutan NP, Breiman RF, Fischer MA, Facklam RR. Proceedings of the 91st General Meeting of the American Society for Microbiology. Dallas: American Society of Microbiology; 1991. Lactococcus garvieae infections in humans: a cause of prosthetic valve endocarditis [abstract C297] p. 109.
LinkOut - more resources
Full Text Sources
