Diabetic myonecrosis: An underreported complication of diabetes mellitus
- PMID: 21847458
- PMCID: PMC3152183
- DOI: 10.4103/2230-8210.83052
Diabetic myonecrosis: An underreported complication of diabetes mellitus
Abstract
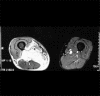
Diabetic myonecrosis is an underreported complication of long-standing, poorly controlled diabetes mellitus which is usually self-limiting and responds well to conservative management. Patients frequently have microvascular complications, and although short-term prognosis is good, the long-term prognosis is poor. We report four cases of diabetic myonecrosis admitted in a tertiary care hospital.
Keywords: Diabetes mellitus; magnetic imaging resonance; myonecrosis.
Conflict of interest statement
Figures




References
-
- Trujillo-Santos AJ. Diabetic muscle infarction: An underdiagnosed complication of long standing diabetes. Diabetes Care. 2003;26:211–5. - PubMed
-
- Angervall L, Stener B. Tumoriform focal muscle degeneration in two diabetic patients. Diabetologia. 1965;1:39–42.
-
- Hoyt JR, Wittich CM. Diabetic myonecrosis. J Clin Endo Meta. 2008;93:3690. - PubMed