Mesothelioma of tunica vaginalis of "uncertain malignant potential" - an evolving concept: case report and review of the literature
- PMID: 21867523
- PMCID: PMC3171709
- DOI: 10.1186/1746-1596-6-78
Mesothelioma of tunica vaginalis of "uncertain malignant potential" - an evolving concept: case report and review of the literature
Abstract
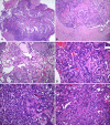
Mesothelioma of tunica vaginalis is a rare neoplasm, typically demonstrating frankly malignant morphology and aggressive behavior. Rare cases of well-differentiated papillary mesotheliomas have also been reported, which, in contrast, demonstrate indolent behavior. There are, however, cases which do not fit into the well-differentiated or diffuse malignant mesothelioma categories and can be considered mesothelioma of tunica vaginalis of "uncertain malignant potential", which is an emerging diagnostic category. A 57-year-old man presented with a neoplasm in a hydrocele sac. The neoplasm was non-invasive, but showed focal complex and solid growth and it was difficult to categorize either as well-differentiated papillary mesotheliomas or malignant mesothelioma. After the initial limited resection, the patient underwent radical orchiectomy with hemiscrotectomy and is alive and without disease progression after 6 years. Documentation of these rare tumors will allow their distinction from true malignant mesotheliomas and will facilitate the development of specific treatment recommendations.
Figures

References
-
- Bisceglia M, Dor DB, Carosi I, Vairo M, Pasquinelli G. Paratesticular mesothelioma. Report of a case with comprehensive review of literature. Adv Anat Pathol. 2010;17:53–70. - PubMed
Publication types
MeSH terms
LinkOut - more resources
Full Text Sources
Medical