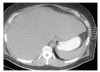
Hepatocellular Carcinoma in Wilson Disease-related Liver Cirrhosis
- PMID: 21904521
- PMCID: PMC3093703
Hepatocellular Carcinoma in Wilson Disease-related Liver Cirrhosis
Figures



References
-
- Das SK, Ray K. Wilson's disease: an update. Nat Clin Pract Neurol. 2006;2:482–493. - PubMed
-
- Loudianos G, Gitlin JD. Wilson's disease. Sem Liver Dis. 2000;29:353–364. - PubMed
-
- Xu R, Bu-Ghanim M, Fiel MI, Schiano T, Cohen E, Thung SN. Hepatocellular carcinoma associated with an atypical presentation of Wilson's Disease. Semin Liver Dis. 2007;27:122–127. - PubMed
-
- Savas N, Canan O, Ozcay F, Bilezikci B, Karakayali H, et al. Hepatocellular carcinoma in Wilson's disease: a rare association in childhood. Pediatr Transplant. 2006;10:639–643. - PubMed
-
- Ozçay F, Canan O, Bilezikçi B, Torgay A, Karakayali H, Haberal M. Effects of living donor liver transplantation on outcome of children with inherited liver disease and hepatocellular carcinoma. Clin Transplant. 2006;20:776–782. - PubMed
Publication types
LinkOut - more resources
Full Text Sources