Compound double ileoileal and ileocecocolic intussusception caused by lipoma of the ileum in an adult patient: A case report
- PMID: 21910876
- PMCID: PMC3178522
- DOI: 10.1186/1752-1947-5-452
Compound double ileoileal and ileocecocolic intussusception caused by lipoma of the ileum in an adult patient: A case report
Abstract
Introduction: The initial diagnosis of intussusception in adults very often can be missed and cause delayed treatment and possible serious complications. We report the case of an adult patient with complicated double ileoileal and ileocecocolic intussusception.
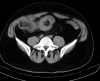
Case presentation: A 46-year-old Caucasian man was transferred from the gastroenterology service to the abdominal surgery service with severe abdominal pain, nausea, and vomiting. An abdominal ultrasound, barium enema, and abdominal computed tomography scan revealed an intraluminal obstruction of his ascending colon. Plain abdominal X-rays showed diffuse air-fluid levels in his small intestine. A double ileoileal and ileocecocolic intussusception was found during an emergent laparotomy. A right hemicolectomy, including resection of a long segment of his ileum, was performed. The postoperative period was complicated by acute renal failure, shock liver, and pulmonary thromboembolism. Our patient was discharged from the hospital after 30 days. An anatomical pathology examination revealed a lipoma of his ileum.
Conclusions: Intussusception in adults requires early surgical resection regardless of the nature of the initial cause. Delayed treatment can cause very serious complications.
Figures





References
-
- Hunter J. In: The Works of John Hunter, FRS London. Palmer JF, editor. London: Longman, Rees, Orme, Brown, Green, Longman; 1837. On introsusception (read Aug 18, 1789) pp. 587–593.
-
- Balik AA, Ozturk G, Aydinli B, Alper F, Gumus H, Yildirgan MI, Basoglu M. Intussusception in adults. Acta Chir Belg. 2006;106:409–412. - PubMed
LinkOut - more resources
Full Text Sources