Splenic injury after colonoscopy: case report and review of literature
- PMID: 21960762
- PMCID: PMC3179198
Splenic injury after colonoscopy: case report and review of literature
Abstract
Background: Splenic injury as a result of colonoscopy is rare but may be underreported and cases may remain undetected.
Methods: Review of the literature and analysis of 93 cases, including a new case report.
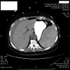
Results: Neither a history of abdominal surgery nor performance of a biopsy seems related to an increased incidence of splenic injury. However, a number of colonoscopy-related factors, such as difficulty intubating, looping of the instrument, and traction on the splenocolic ligament, lead to capsular avulsions and lacerations of the spleen. In addition, excess external pressure on the left hypochondrium can simulate blunt trauma, and other maneuvers can increase traction at the splenic flexure. In the majority of cases, symptoms develop within 24 hours of the colonoscopy. Computed tomography scan provides the most sensitive and specific method of diagnosis.
Conclusion: The number of colonoscopies continues to increase with the aging population, increasing the potential number of associated splenic injuries. The physician needs to have a high index of suspicion when a patient presents after colonoscopy with abdominal pain associated with hemodynamic instability. Abdominal pain within 24 hours is the most reliable indicator and requires further workup and monitoring. Persistent hemodynamic instability mandates operative management.
Keywords: Colonoscopy; hemodynamic instability; splenic injury.
Figures





References
-
- Wherry DC, Zehner H., Jr Colonoscopy-fiberoptic endoscopic approach to the colon and polypectomy. Med Ann Dist Columbia. 1974;43(4):189–192. - PubMed
-
- Fong Ha J, Minchin D. Splenic injury in colonoscopy: a review. Int J Surg. 2009;7(5):424–427. - PubMed
-
- Doctor N, Monteleone F, Zarmakoupis C, Khalife M. Splenic injury as a complication of colonoscopy and polypectomy: Report of a case and review of the literature. Dis Colon Rect. 1987;30(12):967–968. - PubMed
-
- Smith LE, Nivatvongs S. Complications in colonoscopy. Dis Colon Rectum. 1975;18(3):214–220. - PubMed
Publication types
LinkOut - more resources
Full Text Sources