Imaging-guided Parenchymal Liver Biopsy: How We Do It
- PMID: 21966627
- PMCID: PMC3177433
- DOI: 10.4103/2156-7514.82082
Imaging-guided Parenchymal Liver Biopsy: How We Do It
Abstract
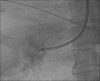
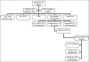
Liver biopsies are performed for both focal and nonfocal lesions (parenchymal). In our center, majority of liver biopsies are performed for parenchymal liver disease. Parenchymal liver biopsy plays a key role in the diagnosis of various diffuse liver dysfunctions. Results of the biopsy help grade the disease, facilitating prognostication, which helps in planning specific treatment strategies. Imaging guidance is gaining wide acceptance as the standard procedure. Ultrasound (US) guidance is currently considered the most cost-effective and safe way to perform parenchymal liver biopsies. Radiologists worldwide and particularly in the United States are increasingly performing this procedure. Radiologists performing biopsies generally use the cutting needle. Different needle sizes, techniques and preference for biopsy of the right or left lobe have been described. We attribute these preferences to prior training and individual radiologist's comfort level. We describe the algorithm followed at our institution for performing percutaneous US-guided parenchymal liver biopsy. While clinical societies have recommended a minimum of 40 liver biopsies as a requirement for proficiency of clinicians, specific to radiology trainees/fellows interested in pursuing a career in intervention, we feel a total of 20 liver biopsies (includes assisted and independently performed biopsies under supervision) should be adequate training.
Keywords: Liver biopsy; percutaneous; ultrasound guidance.
Conflict of interest statement
Figures













References
-
- Rockey DC, Caldwell SH, Goodman ZD, Nelson RC, Smith AD. AASLD position paper: Liver biopsy. Hepatology. 2009;49:1017–44. - PubMed
-
- Dunn AS, Turpie AG. Perioperative management of patients receiving oral anticoagulants: A systematic review. Arch Intern Med. 2003;163:901–8. - PubMed
-
- Atwell TD, Smith RL, Hesley GK, Callstrom MR, Schleck CD, Harmsen WS, et al. Incidence of bleeding after 15,181 percutaneous biopsies and the role of aspirin. AJR Am J Roentgenol. 2010;194:784–9. - PubMed
-
- Segal JB, Dzik WH. Transfusion Medicine/Hemostasis Clinical Trials Network.Paucity of studies to support that abnormal coagulation test results predict bleeding in the setting of invasive procedures: An evidence-based review. Transfusion. 2005;45:1413–25. - PubMed
LinkOut - more resources
Full Text Sources