Diffuse large B-cell non Hodgkin's lymphoma in a 65-year-old woman presenting with hypopituitarism and recovering after chemotherapy: a case report
- PMID: 21970824
- PMCID: PMC3197538
- DOI: 10.1186/1752-1947-5-498
Diffuse large B-cell non Hodgkin's lymphoma in a 65-year-old woman presenting with hypopituitarism and recovering after chemotherapy: a case report
Abstract
Introduction: Diffuse large B-cell non Hodgkin's lymphoma may involve the pituitary either as a primary central nervous system lymphoma or, more frequently, as metastasis from systemic lymphoma leading to hypopituitarism. A partial recovery of pituitary function after treatment with chemotherapy has previously been described but complete recovery with cessation of all hormone supplements is excessively rare. We report a patient presenting with anterior hypopituitarism with subsequent complete and sustained recovery of pituitary function after successful treatment of the lymphoma.
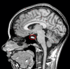
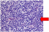
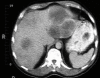
Case presentation: A 65-year-old Caucasian woman with lethargy, loss of appetite and peripheral edema was found to have anterior hypopituitarism. Magnetic resonance imaging showed no mass lesions in the pituitary although a positron emission tomography scan showed abnormal pituitary activity. An abdominal computed tomography scan revealed multiple intra-abdominal lymph nodes, which on histology proved diagnostic of diffuse large B-cell non Hodgkin's lymphoma. She received six cycles of R-CHOP chemotherapy, after which she achieved a complete metabolic response at all known previous sites of the disease, confirmed by positron emission tomography scanning. Concomitant with the tumor response, there was full recovery of adrenal, thyroid and gonadal axes which has persisted at 10 months follow-up.
Conclusion: Although rare, it is important to recognize lymphomatous infiltration of the pituitary as a potentially reversible cause of hypopituitarism.
Figures
References
LinkOut - more resources
Full Text Sources
Research Materials
