Diverticular disease of the right colon
- PMID: 21978459
- PMCID: PMC3206858
- DOI: 10.1186/1756-0500-4-383
Diverticular disease of the right colon
Abstract
Background: The incidence of colonic diverticular disease varies with national origin, cultural background and diet. The frequency of this disease increases with advancing age. Right-sided diverticular disease is uncommon and reported to occur in 1-2% of surgical specimens in European and American series. In contrast the disease is more prevalent and reported in 43-50% of specimens in Asian series. Various lines of evidence suggest this variation may represent hereditary differences. The aim of the study is to report all cases of right sided diverticular disease underwent surgical resection or identified during pathological examination of right hemicoloectomy specimens
Methods: A retrospective review of all surgical specimens with right sided colonic diverticular disease selected from a larger database of all colonic diverticulosis and diverticulitis surgical specimen reported between January 1993 and December 2010 at the Pathology Department McMaster University Medical Centre Canada. The clinical and pathological features of these cases were reviewed
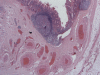
Results: The review identified 15 cases of right colon diverticulosis. The clinical diagnoses of these cases were appendicitis, diverticulitis or adenocarcinoma. Eight cases of single congenital perforated diverticuli were identified and seven cases were incidental multiple acquired diverticuli found in specimen resected for right side colonic carcinomas/large adenomas. Laparotomy or laparoscopic assisted haemicolectomies were done for all cases. Pathological examination showed caecal wall thickening with inflammation associated with perforated diverticuli. Histology confirmed true solitary diverticuli that exhibited in two cases thick walled vessels in the submucosa and muscular layer indicating vascular malformation/angiodysplasia. Acquired diverticuli tend to be multiple and are mostly seen in specimens resected for neoplastic right colon diseases.
Conclusion: Single true diverticular disease of the right colon is usually of congenital type and affects younger age group and may be associated with angiodysplasia in some cases. Multiple false diverticuli are more seen in association with caecal carcinoma or large adenomas. These are usually asymptomatic and are more seen in older patients. However this study dose not reflects the true incidence of the disease in the general population.
Figures
References
-
- Fenoglio-Preiser CM. Gastrointestinal Pathology an atlas and text. Philadelphia, Lippincott Williams; 2008.
-
- Petruzziello L, Iacopini F, Bulajic M, Shah S, Costamagna G. Review article: uncomplicated diverticular disease of the colon Aliment. Pharmacol Ther. 2006;23(10):1379–91. - PubMed
-
- Lockhart AC, Braun RD, Yu D, Ross JR, Dewhirst MW, Reduction of Wound Angiogenesis in Patients Treated with BMS-275291, a Broad Spectrum Matrix Metalloproteinase Inhibitor. clinical cancer research. 2003. pp. 586–593. - PubMed
LinkOut - more resources
Full Text Sources
