CA1 neurons in the human hippocampus are critical for autobiographical memory, mental time travel, and autonoetic consciousness
- PMID: 21987814
- PMCID: PMC3198338
- DOI: 10.1073/pnas.1110266108
CA1 neurons in the human hippocampus are critical for autobiographical memory, mental time travel, and autonoetic consciousness
Abstract
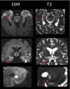
Autobiographical memories in our lives are critically dependent on temporal lobe structures. However, the contribution of CA1 neurons in the human hippocampus to the retrieval of episodic autobiographical memory remains elusive. In patients with a rare acute transient global amnesia, highly focal lesions confined to the CA1 field of the hippocampus can be detected on MRI. We studied the effect of these lesions on autobiographical memory using a detailed autobiographical interview including the remember/know procedure. In 14 of 16 patients, focal lesions in the CA1 sector of the hippocampal cornu ammonis were detected. Autobiographical memory was significantly affected over all time periods, including memory for remote periods. Impairment of episodic memory and autonoetic consciousness exhibited a strong temporal gradient extending 30 to 40 y into the past. These results highlight the distinct and critical role of human hippocampal CA1 neurons in autobiographical memory retrieval and for re-experiencing detailed episodic memories.
Conflict of interest statement
The authors declare no conflict of interest.
Figures





References
-
- Conway MA, Pleydell-Pearce CW. The construction of autobiographical memories in the self-memory system. Psychol Rev. 2000;107:261–288. - PubMed
-
- Tulving E. Episodic memory: From mind to brain. Annu Rev Psychol. 2002;53:1–25. - PubMed
-
- Eldridge LL, Knowlton BJ, Furmanski CS, Bookheimer SY, Engel SA. Remembering episodes: A selective role for the hippocampus during retrieval. Nat Neurosci. 2000;3:1149–1152. - PubMed
-
- Frankland PW, Bontempi B. The organization of recent and remote memories. Nat Rev Neurosci. 2005;6(2):119–130. - PubMed
Publication types
MeSH terms
LinkOut - more resources
Full Text Sources
Miscellaneous