Intracranial Rosai Dorfman Disease: report of three cases and literature review
- PMID: 22028755
- PMCID: PMC3201083
Intracranial Rosai Dorfman Disease: report of three cases and literature review
Abstract
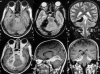
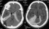
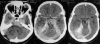
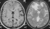
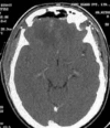
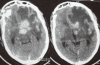
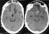
Background: Rosai-Dorfman Disease (RDD) is a rare idiopathic non-neoplastic histioproliferative disease characterized clinically by massive painless cervical lymphadenopathy, fever and weight loss. Extranodal involvement has also been recognized. Central nervous system (CNS) manifestations are extremely rare and patients with intracranial involvement usually present with clinical and radiological findings suggestive of a meningioma.
Case description: We report our experience in the management of three patients with RDD. Two patients had dural based lesions, radiologically in favour of a meningioma, and one patient had a parenchymal lesion suggestive of a tuberculous granuloma. Treatment consisted of total excision in one case, and subtotal excision followed by conventional radiotherapy in two cases. The diagnosis was confirmed by histopathology and immunochemistry which is essential for a definite diagnosis of RDD.
Keywords: Histoproliferative disease; Lymphnode; Meningioma; Rosai-Dorfman Disease; Tuberculous granuloma.
Figures












References
-
- Andriko JA, Morrison A, Colegial CH, et al. Rosai-Dorfman disease isolated to the central nervous system: A report of 11 cases. Mod Pathol. 2001;14:172–8. - PubMed
-
- Cheng-Hong Toh, Yao-Liang Chen, Ho-Fai Wong, et al. Rosai—Dorfman disease with dural sinus invasion Report of two cases. J Neurosurg. 2005;102:550–554. - PubMed
-
- Deodhare SS, Ang LC, Bilbao JM. Isolated intracranial involvement in Rosai- Dorfman disease.A report of two cases and review of the literature. Arch Pathol Lab Med. 1998;122:161–5. - PubMed
-
- Destombes P. Adenitis avec surcharge lipidique, de l’ enfant ou de l’adulte jeune, odservees aux Antilles et au Mali. Bull Soc Pathol Exot. 1965;6:1169–75. - PubMed
-
- Fabrice Bing, Jean-Paul Brion, Sylvie Grand, et al. Tumor arising in the periventricular region. Neuropathology. 2009;29:101–103. - PubMed
Publication types
LinkOut - more resources
Full Text Sources