Skip to main page content
U.S. flag

An official website of the United States government

Dot gov

The .gov means it’s official.
Federal government websites often end in .gov or .mil. Before sharing sensitive information, make sure you’re on a federal government site.

Https

The site is secure.
The https:// ensures that you are connecting to the official website and that any information you provide is encrypted and transmitted securely.

Access keys NCBI Homepage MyNCBI Homepage Main Content Main Navigation
Comparative Study
. 2011 Nov-Dec;17(6):383-6.
doi: 10.4103/1319-3767.87178.

Prevalence of microscopic colitis in patients with chronic diarrhea in Egypt: a single-center study

Affiliations
Comparative Study

Prevalence of microscopic colitis in patients with chronic diarrhea in Egypt: a single-center study

Ahmed S Gado et al. Saudi J Gastroenterol. 2011 Nov-Dec.

Abstract

Background/aim: Microscopic colitis (MC) is diagnosed when a patient with chronic watery non-bloody diarrhea (CWND) has an endoscopically normal colon, but colonic biopsies show unique inflammatory changes characteristic of lymphocytic or collagenous colitis. MC is a disorder of unknown etiology. Studies comparing the prevalence of the disease in developing countries as compared to developed countries may shed more light on the possibility of a post-infectious etiology. Most data on the incidence and prevalence of MC are from developed countries where it accounts for 4-13% of cases of CWND. There are only a few reports from developing countries. Two studies from Peru and Tunis, with high prevalence of infectious gastroenteritis, revealed MC in 40% and 29.3% of cases of CWND, respectively. The aim of this study was to investigate the prevalence of MC in patients presenting with CWND in Egypt.

Materials and methods: A total of 44 patients with CWND of unexplained etiology who had undergone full colonoscopy with no macroscopic abnormalities between January 2000 and January 2010 were assessed retrospectively.

Results: The histological appearance of MC was identified in 22 (50%) patients. Twelve (55%) patients were male and 10 (45%) female. Mean age was 40 years (range: 20-65 years). Twenty (91%) of MC cases had lymphocytic colitis and 2 (9%) had collagenous colitis.

Conclusions: The prevalence of MC in Egyptian patients with CWND is high when compared to that in developed countries. MC mainly affects young and middle-aged patients and it is more commonly of the lymphocytic type.

PubMed Disclaimer

Conflict of interest statement

Conflict of Interest: None declared.

Figures

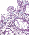
Figure 1
Figure 1
A case of lymphocytic colitis showing marked increase of lymphocytes within the lamina. H and E stain, ×100
Figure 2
Figure 2
A view of the previous case of lymphocytic colitis showing the lymphocytes invading the crypts; H and E, stain ×200
Figure 3
Figure 3
A case of lymphocytic colitis showing early superficial collagenous deposition; Masson's Trichrome stain ×100
Figure 4
Figure 4
A view of a case of early collagenous colitis showing a superficial mucosal band of deposited collagen; Masson's Trichrome stain ×200

References

    1. Butt SK. How alert are we in detecting microscopic colitis? Gut. 2009;58:A92.
    1. Olesen M, Eriksson S, Bohr J, J.rnerot G, Tysk C. Lymphocytic colitis: A retrospective clinical study of 199 Swedish patients. Gut. 2004;53:536–41. - PMC - PubMed
    1. Bohr J, Tysk C, Eriksson S, Abrahamsson H, J.rnerot G. Collagenous colitis: A retrospective study of clinical presentation and treatment in 163 patients. Gut. 1996;39:846–51. - PMC - PubMed
    1. Otegbayo JA, Otegbeye FM, Rotimi O. Microscopic colitis syndrome. J Natl Med Assoc. 2005;97:678–82. - PMC - PubMed
    1. Valle Mansilla JL, León Barúa R, Recavarren Arce S, Berendson Seminario R, Biber Poillevard M. Microscopic colitis in patients with chronic diarrhea. Rev Gastroenterol Peru. 2002;22:275–8. - PubMed

Publication types

MeSH terms