Cone beam CT sialography of Stafne bone cavity
- PMID: 22065802
- PMCID: PMC3528154
- DOI: 10.1259/dmfr/84472023
Cone beam CT sialography of Stafne bone cavity
Abstract
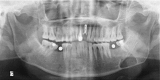
Stafne bone cavity (SBC) was mostly described as a small oval radiolucency in the posterior mandibular region. To the best of our knowledge, the literature does not contain any report of the use of cone beam CT (CBCT) sialography for the diagnosis of this entity. The aim of this paper is to present a large, irregular and expanded atypical SBC, which made diagnosis difficult. A CBCT sialography was performed to get a definite diagnosis of this rare entity.
Figures
References
-
- Stafne E. Bone cavities situated near the angle of the mandible. J Am Dent Assoc 1942;29:1969–1972
-
- Philipsen HP, Takata T, Reichart PA, Sato S, Suei Y. Lingual and buccal mandibular bone depressiones: A review based on 583 cases from a world-wide literature survey, including 69 new cases from Japan. Dentomaxillofac Radiol 2002;31:281–290 - PubMed
-
- Katz J, Chaushu G, Rotstein I. Stafne's bone cavity in the anterior mandible: a possible diagnostic challenge. J Endod 2001;27:304–307 - PubMed
-
- Tsui SH, Chan FF. Lingual mandibular bone defect: case report and review of the literature. Aust Dent J 1994;39:368–371 - PubMed
-
- de Courten A, Kuffer R, Samson J, Lombardi T. Anterior lingual mandibular salivary gland defect (Stafne defect) presenting as a residual cyst. Oral Surg Oral Med Oral Pathol Oral Radiol Endod 2002;94:460–464 - PubMed
