Skip to main page content
U.S. flag

An official website of the United States government

Dot gov

The .gov means it’s official.
Federal government websites often end in .gov or .mil. Before sharing sensitive information, make sure you’re on a federal government site.

Https

The site is secure.
The https:// ensures that you are connecting to the official website and that any information you provide is encrypted and transmitted securely.

Access keys NCBI Homepage MyNCBI Homepage Main Content Main Navigation
. 2007:6:Doc05.
Epub 2008 Mar 14.

Classification and diagnosis of ear malformations

Affiliations

Classification and diagnosis of ear malformations

Sylva Bartel-Friedrich et al. GMS Curr Top Otorhinolaryngol Head Neck Surg. 2007.

Abstract

In the ENT region 50% of the malformations affect the ear. Malformations of the outer and middle ear are predominantly unilateral (ca. 70-90%) and mostly involve the right ear. Inner ear malformations can be unilateral or bilateral. The incidence of ear malformations is approximately 1 in 3800 newborns. Ear malformations may be genetic (associated with syndromes or not, with family history, spontaneous mutations) or acquired in nature. Malformations can affect the outer ear (pinna and external auditory canal, EAC), middle ear and inner ear, not infrequently in combination. Formal classification is advisable in order to be able to predict the prognosis and compare treatment schedules. Various classifications have been proposed: pinna and EAC malformations according to Weerda [1], middle ear malformations according to Kösling [2], and inner ear malformations according to Jackler [3], [4], to Marangos [5] and to Sennaroglu [6]. Additionally, we describe Altmann's classification of atresia auris congenita [7] and the Siegert-Mayer-Weerda score [8] for EAC and middle ear malformations, systems of great practicability that are in widespread clinical use. The diagnostic steps include clinical examination, audiological testing, genetic analysis and, especially, CT and MRI. These imaging methods are most usefully employed in combination. Precise description of the malformations by means of CT and MRI is indispensable for the planning and successful outcome of operative ear reconstruction and rehabilitation procedures, including cochlear implantation.

Keywords: CT; MRI; classification; diagnosis; ear malformations.

PubMed Disclaimer

Figures

Table 1
Table 1. Some markers involved in ear development
Table 2
Table 2. Typical hillock malformations with illustrations and clinical findings. The arrows identify the pinna structures normally developing from these hillocks. Illustrations and some photographs modified from Weerda [1]
Table 3
Table 3. Various dysplasia grades of the pinna with subgroups according to Weerda [1]
Table 4
Table 4. CT score according to Siegert-Mayer-Weerda [8]
Table 5
Table 5. Classification of inner ear malformations according to Jackler [3], [4]
Table 6
Table 6. Classification of inner ear malformations according to Marangos [5]
Table 7
Table 7. Main groups and configurations of cochleovestibular malformations according to Sennaroglu [6]
Table 8
Table 8. Cochlear malformations by time of developmental arrest according to Sennaroglu [6]
Table 9
Table 9. Signs of malformation on CT (checklist)
Table 10
Table 10. CT score according to Jahrsdoerfer et al. [45]
Figure 1
Figure 1. Pinna development (from Weerda [1])
Figure 2
Figure 2. Position of ear pits and ear cysts: a = type I, b = type II, c = topography of the facial nerve to the type II pits (from Weerda [1])
Figure 3
Figure 3. Various cup ear deformities: a = type I, slight deformity; b = type IIA, deformity at slight to moderate level; c = type IIB, deformity at moderate to strong level; d = type III, severe deformity (from Weerda [1])
Figure 4
Figure 4. EAC malformation groups type A to C (from Weerda [1])
Figure 5
Figure 5. Bilateral aplasia of the semicircular system (CT, axial)
Figure 6
Figure 6. Enlarged vestibular aqueduct (CT, axial)
Figure 7
Figure 7. Illustration of the various arrest levels of inner ear development (modified from Sennaroglu [6]).
1 = Michel-deformity, 2 = cochlear aplasia, 3 = common cavity, 4 = incomplete partition type I (IP I), 5 = cochlear hypoplasia, 6 = incomplete partition type II (IP II), Mondini deformity, 7 = normal; a = sections through the internal auditory canal, b = sections through the round window
Figure 8
Figure 8. a: Common cavity (CT, axial). b: Common cavity (MRI, axial)
Figure 9
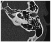
Figure 9. IP I
Figure 10
Figure 10. a: IP II (Mondini deformity) (CT, axial). b: IP II (Mondini deformity) (CT, coronal)
Figure 11
Figure 11. Normal cochlea

References

    1. Weerda H. Chirurgie der Ohrmuschel. Verletzungen, Defekte und Anomalien. Stuttgart: Thieme; 2004. pp. 105–226.
    1. Kösling S, Schneider-Möbius C, König E, Meister EF. Computertomographie bei Kindern und Jugendlichen mit Verdacht auf eine Felsenbeinmissbildung. Radiologe. 1997;37:971–976. - PubMed
    1. Jackler RK, Luxford WM, House WF. Congenital malformations of the inner ear: a classification based on embryogenesis. Laryngoscope. 1987;97:1–14. - PubMed
    1. Jackler RK, De La Cruz A. The large vestibular aqueduct syndrome. Laryngoscope. 1989;99:1238–1243. - PubMed
    1. Marangos N. Dysplasien des Innenohres und inneren Gehörganges. HNO. 2002;50(9):866–881. - PubMed

LinkOut - more resources