Management of Pneumocystis Jirovecii pneumonia in HIV infected patients: current options, challenges and future directions
- PMID: 22096390
- PMCID: PMC3218692
- DOI: 10.2147/hiv.s7720
Management of Pneumocystis Jirovecii pneumonia in HIV infected patients: current options, challenges and future directions
Abstract
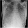
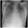
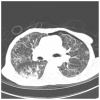
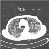
The discovery of the Human Immunodeficiency Virus (HIV) was led by the merge of clustered cases of Pneumocystis jirovecii Pneumonia (PCP) in otherwise healthy people in the early 80's.1,2 In the face of sophisticated treatment now available for HIV infection, life expectancy approaches normal limits. It has dramatically changed the natural course of HIV from a nearly fatal infection to a chronic disease.3-5 However, PCP still remains a relatively common presentation of uncontrolled HIV. Despite the knowledge and advances gained in the prevention and management of PCP infection, it continues to have high morbidity and mortality rates. Trimethoprim-sulfamethoxazole (TMP-SMZ) remains as the recommended first-line treatment. Alternatives include pentamidine, dapsone plus trimethoprim, clindamycin administered with primaquine, and atovaquone. For optimal management, clinicians need to be familiar with the advantages and disadvantages of the available drugs. The parameters used to classify severity of infection are also important, as it is well known that the adjunctive use of steroids in moderate to severe cases have been shown to significantly improve outcome. Evolving management practices, such as the successful institution of early antiretroviral therapy, may further enhance overall survival rates.
Keywords: HIV; PCP; Pneumocystis Jirovecii; TMP-SMZ.
Figures






References
-
- Center of Disease Control and Prevention. Pneumocystis pneumonia – Los Angeles. MMWR. 1981;30:250–252. - PubMed
-
- Gottlieb MS, Schroff R, Schanker HM, et al. Pneumocystis carinii pneumonia and mucosal candidiasis in previously healthy homosexual men: evidence of a new acquired cellular immunodeficiency. N Engl J Med. 1981;305:1425–1431. - PubMed
-
- Palella FJ, Jr, Delaney KM, Moorman AC, et al. Declining morbidity and mortality among patients with advanced human immunodeficiency virus infection. HIV Outpatient Study Investigators. N Engl J Med. 1998;338:853–860. - PubMed
-
- Battegay M, Elzi L. Morbidity and mortality in HIV-infected individuals – a shift towards comorbidities. Swiss Med Wkly. 2009;139:564–570. - PubMed
LinkOut - more resources
Full Text Sources