High-frequency irreversible electroporation (H-FIRE) for non-thermal ablation without muscle contraction
- PMID: 22104372
- PMCID: PMC3258292
- DOI: 10.1186/1475-925X-10-102
High-frequency irreversible electroporation (H-FIRE) for non-thermal ablation without muscle contraction
Abstract
Background: Therapeutic irreversible electroporation (IRE) is an emerging technology for the non-thermal ablation of tumors. The technique involves delivering a series of unipolar electric pulses to permanently destabilize the plasma membrane of cancer cells through an increase in transmembrane potential, which leads to the development of a tissue lesion. Clinically, IRE requires the administration of paralytic agents to prevent muscle contractions during treatment that are associated with the delivery of electric pulses. This study shows that by applying high-frequency, bipolar bursts, muscle contractions can be eliminated during IRE without compromising the non-thermal mechanism of cell death.
Methods: A combination of analytical, numerical, and experimental techniques were performed to investigate high-frequency irreversible electroporation (H-FIRE). A theoretical model for determining transmembrane potential in response to arbitrary electric fields was used to identify optimal burst frequencies and amplitudes for in vivo treatments. A finite element model for predicting thermal damage based on the electric field distribution was used to design non-thermal protocols for in vivo experiments. H-FIRE was applied to the brain of rats, and muscle contractions were quantified via accelerometers placed at the cervicothoracic junction. MRI and histological evaluation was performed post-operatively to assess ablation.
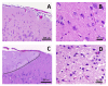
Results: No visual or tactile evidence of muscle contraction was seen during H-FIRE at 250 kHz or 500 kHz, while all IRE protocols resulted in detectable muscle contractions at the cervicothoracic junction. H-FIRE produced ablative lesions in brain tissue that were characteristic in cellular morphology of non-thermal IRE treatments. Specifically, there was complete uniformity of tissue death within targeted areas, and a sharp transition zone was present between lesioned and normal brain.
Conclusions: H-FIRE is a feasible technique for non-thermal tissue ablation that eliminates muscle contractions seen in IRE treatments performed with unipolar electric pulses. Therefore, it has the potential to be performed clinically without the administration of paralytic agents.
Figures









References
Publication types
MeSH terms
LinkOut - more resources
Full Text Sources
Other Literature Sources