Skip to main page content
U.S. flag

An official website of the United States government

Dot gov

The .gov means it’s official.
Federal government websites often end in .gov or .mil. Before sharing sensitive information, make sure you’re on a federal government site.

Https

The site is secure.
The https:// ensures that you are connecting to the official website and that any information you provide is encrypted and transmitted securely.

Access keys NCBI Homepage MyNCBI Homepage Main Content Main Navigation
Clinical Trial
. 2012 Mar;33(3):556-62.
doi: 10.3174/ajnr.A2811. Epub 2011 Nov 24.

Does MR perfusion imaging impact management decisions for patients with brain tumors? A prospective study

Affiliations
Clinical Trial

Does MR perfusion imaging impact management decisions for patients with brain tumors? A prospective study

C P Geer et al. AJNR Am J Neuroradiol. 2012 Mar.

Abstract

Background and purpose: MR perfusion imaging can be used to help predict glial tumor grade and disease progression. Our purpose was to evaluate whether perfusion imaging has a diagnostic or therapeutic impact on clinical management planning in patients with glioma.

Materials and methods: Standard MR imaging protocols were interpreted by a group of 3 NRs in consensus, with each case being interpreted twice: first, including routine sequences; and second, with the addition of perfusion imaging. A multidisciplinary team of treating physicians assessed tumor status and created hypothetical management plans, on the basis of clinical presentation and routine MR imaging and then routine MR imaging plus perfusion MR imaging. Physicians' confidence in the tumor status assessment and management plan was measured by using Likert-type items.

Results: Fifty-nine consecutive subjects with glial tumors were evaluated; 50 had known pathologic diagnoses. NRs and the treatment team agreed on tumor status in 45/50 cases (κ = 0.81). With the addition of perfusion, confidence in status assessment increased in 20 (40%) for NRs and in 28 (56%) for the treatment team. Of the 59 patient-care episodes, the addition of perfusion was associated with a change in management plan in 5 (8.5%) and an increase in the treatment team's confidence in their management plan in 34 (57.6%). NRs and the treatment team found perfusion useful in most episodes of care and wanted perfusion included in future MR images for >80% of these subjects.

Conclusions: Perfusion imaging appears to have a significant impact on clinical decision-making and subspecialist physicians' confidence in management plans for patients with brain tumor.

PubMed Disclaimer

Figures

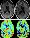
Fig 1.
Fig 1.
A and C, Postcontrast SPGR image for reference MRI (C) shows new enhancement along the right anterior limb of the internal capsule, which was not present on comparison postcontrast SPGR (A). B and D, This area shows increased CBV on the concurrent DSC color map (D) compared with the prior DSC color map (B). The appearance was most suggestive of tumor progression, and the management plan was altered accordingly. Susceptibility artifacts are seen along the previous resection cavity in the right temporoparietal region on all images.
Fig 2.
Fig 2.
Pie chart shows the effect of the addition of perfusion imaging on treatment-team confidence in their chosen management plan.
Fig 3.
Fig 3.
Bar graph shows the frequency of the perceived usefulness of perfusion imaging in these study subjects.
Fig 4.
Fig 4.
Bar graph shows the relative frequencies that specific perfusion techniques were thought most useful by NRs and the treatment team.

References

    1. Central Brain Tumor Registry of the United States. CBTRUS Statistical Report: primary brain and central nervous system tumors diagnosed in the United States in 2004–2007. 2011. http://www.cbtrus.org. Accessed 2011 Feb 21.
    1. Gutin PH, Iwamoto FM, Beal K, et al. . Safety and efficacy of bevacizumab with hypofractionated stereotactic irradiation for recurrent malignant gliomas. Int J Radiat Oncol Biol Phys 2009;26:156–63. Epub 2009 Jan 23 - PMC - PubMed
    1. Reardon DA, Fink KL, Mikkelsen T, et al. . Randomized phase II study of cilengitide, an integrin-targeting arginine-glycine-aspartic acid peptide, in recurrent glioblastoma multiforme. J Clin Oncol 2008;26:5610–17. Epub 2008 Nov 3 - PubMed
    1. Vredenburgh JJ, Desjardins A, Herndon JE, 2nd, et al. . Phase II trial of bevacizumab and irinotecan in recurrent malignant glioma. Clin Cancer Res 2007:13;1253–59 - PubMed
    1. Fiveash JB, Spencer SA. Role of radiation therapy and radiosurgery in glioblastoma multiforme. Cancer J 2003;9:222–29 - PubMed

Publication types