Age-related slowing in cognitive processing speed is associated with myelin integrity in a very healthy elderly sample
- PMID: 22133139
- PMCID: PMC3269444
- DOI: 10.1080/13803395.2011.595397
Age-related slowing in cognitive processing speed is associated with myelin integrity in a very healthy elderly sample
Abstract
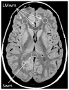
Performance on measures of cognitive processing speed (CPS) slows with age, but the biological basis associated with this cognitive phenomenon remains incompletely understood. We assessed the hypothesis that the age-related slowing in CPS is associated with myelin breakdown in late-myelinating regions in a very healthy elderly population. An in vivo magnetic resonance imaging (MRI) biomarker of myelin integrity was obtained from the prefrontal lobe white matter and the genu of the corpus callosum for 152 healthy elderly adults. These regions myelinate later in brain development and are more vulnerable to breakdown due to the effects of normal aging. To evaluate regional specificity, we also assessed the splenium of the corpus callosum as a comparison region, which myelinates early in development and primarily contains axons involved in visual processing. The measure of myelin integrity was significantly correlated with CPS in highly vulnerable late-myelinating regions but not in the splenium. These results have implications for the neurobiology of the cognitive changes associated with brain aging.
Figures



References
-
- Amieva H, Rouch-Leroyer I, Letenneur L, Dartigues JF, Fabrigoule C. Cognitive slowing and learning of target detection skills in pre-demented subjects. Brain Cogn. 2004;54(3):212–214. - PubMed
-
- Archibald CJ, Fisk JD. Information processing efficiency in patients with multiple sclerosis. Journal of Clinical and Experimental Neuropsychology. 2000;22:686–701. - PubMed
-
- Bartzokis G. Age-related myelin breakdown: a developmental model of cognitive decline and Alzheimer’s disease. Neurobiol Aging. 2004a;25(1):5–18. - PubMed
-
- Bartzokis G. Quadratic trajectories of brain myelin content: unifying construct for neuropsychiatric disorders. Neurobiol Aging. 2004b;25(1):49–62.
Publication types
MeSH terms
Grants and funding
LinkOut - more resources
Full Text Sources
Medical