Immunohistochemical expression of cyclin D1 in ameloblastomas and adenomatoid odontogenic tumors
- PMID: 22144830
- PMCID: PMC3227254
- DOI: 10.4103/0973-029X.86685
Immunohistochemical expression of cyclin D1 in ameloblastomas and adenomatoid odontogenic tumors
Abstract
Background: Cyclin D1, a member of G1 cyclins, controls the cell-cycle transit from the G1 to S phase. The deregulation and overexpression of cyclin D1 has been revealed in many tumors of diverse histogenesis. Ameloblastoma is the most frequently encountered odontogenic tumor known for its local invasiveness and a high tendency to recur. The adenomatoid odontogenic tumor is a benign, nonaggressive tumor with a limited growth and no tendency to recur.
Aim: The aim was to investigate whether the immunohistochemical expression of cyclin D1 as a proliferation marker in ameloblastoma and adenomatoid odontogenic tumor correlates with the known clinical behavior of these two benign neoplasms.
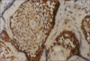
Materials and methods: Ameloblastoma cases consisted of follicular, plexiform, and unicystic subtypes. The positive staining was assessed based on intensity of staining, localization of staining, and in different cell types in both the tumors. Two cases of follicular ameloblastoma and one case of plexiform ameloblastoma showed intense staining, but the predominant staining intensity was overall mild in both ameloblastoma and adenomatoid odontogenic tumors. The immunoreactivity was found both in nucleus and cytoplasm in ameloblastoma and only nuclear in adenomatoid odontogenic tumors. The peripheral columnar and central stellate reticulum-like cells of ameloblastoma showed immunoreactivity with squamous and granular cells being negative. In adenomatoid odontogenic tumors, the whorls showed predominant localization of staining. Statistical comparison with a Mann-Whitney U-test showed no significant difference in staining intensities between different histologic subtypes of ameloblastomas and also between ameloblastoma and adenomatoid odontogenic tumors (P>0.005).
Conclusion: The marked expression of cyclin D1 in these tumors suggested its participation in proliferation of both the tumors and its expression patterns were irrespective of their known biologic behavior.
Keywords: Adenomatoid odontogenic tumor; Cyclin D1; G1 cyclins; ameloblastoma; cell cycle.
Conflict of interest statement
Figures
References
-
- Wang TC, Cardiff RD, Zukerberg L, Lees E, Arnold A, Schmidt EV. Mammary hyperplasia and carcinoma in MMTV-Cyclin D1 transgenic mice. Nature. 1994;369:669–71. - PubMed
-
- Todd R, Hinds PW, Munger K, Rustgi AK, Opitz OG, Suliman Y, et al. Cell cycle dysregulation in oral cancer. Crit Rev Oral Biol Med. 2002;13:51–61. - PubMed
-
- Weinstern BI, Zhou P. Cell cycle control gene defects and human cancer. In: Bertino JR, editor. Encyclopedia of Cancer. Vol. 1. California: Academic Press; 1997. pp. 256–67.
-
- Zuckerberg IR, Yang WI, Arnold A, Harris DL. Cyclin D1 expression in non Hodgkin's lymphoma. Detection by immunohistochemistry. Am J Clin Pathol. 1995;103:756–60. - PubMed
-
- Fracchiolla NS, Pruneri G, Pignataro L, Carboni N, Capaccio P, Boletini A, et al. Molecular and immunohistochemical analysis of the bcl-1/Cyclin D1gene in laryngeal squamous cell carcinomas: Correlation of protein expression with lymph node metastases and advanced clinical stage. Cancer. 1997;79:1114–21. - PubMed
LinkOut - more resources
Full Text Sources
Research Materials
