Transcription factor Sp1 is involved in expressional regulation of coxsackie and adenovirus receptor in cancer cells
- PMID: 22190856
- PMCID: PMC3228682
- DOI: 10.1155/2011/636497
Transcription factor Sp1 is involved in expressional regulation of coxsackie and adenovirus receptor in cancer cells
Abstract
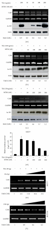
Coxsackie and adenovirus receptor (CAR) was first known as a virus receptor. Recently, it is also known to have tumor suppressive activity such as inhibition of cell proliferation, migration, and invasion. It is important to understand how CAR expression can be regulated in cancers. Based on an existence of putative Sp1 binding site within CAR promoter, we investigated whether indeed Sp1 is involved in the regulation of CAR expression. We observed that deletion or mutation of Sp1 binding motif (-503/-498) prominently impaired the Sp1 binding affinity and activity of CAR promoter. Histone deacetylase inhibitor (TSA) treatment enhanced recruitment of Sp1 to the CAR promoter in ChIP assay. Meanwhile, Sp1 binding inhibitor suppressed the recruitment. Exogenous expression of wild-type Sp1 increased CAR expression in CAR-negative cells; meanwhile, dominant negative Sp1 decreased the CAR expression in CAR-positive cells. These results indicate that Sp1 is involved in regulation of CAR expression.
Figures
References
-
- Bergelson JM, Cunningham JA, Droguett G, et al. Isolation of a common receptor for coxsackie B viruses and adenoviruses 2 and 5. Science. 1997;275(5304):1320–1323. - PubMed
-
- Okegawa T, Pong RC, Li Y, Bergelson JM, Sagalowsky AI, Hsieh JT. The mechanism of the growth-inhibitory effect of coxsackie and adenovirus receptor (CAR) on human bladder cancer: a functional analysis of car protein structure. Cancer Research. 2001;61(17):6592–6600. - PubMed
-
- Okegawa T, Li Y, Pong RC, Bergelson JM, Zhou J, Hsieh JT. The dual impact of coxsackie and adenovirus receptor expression on human prostate cancer gene therapy. Cancer Research. 2000;60(18):5031–5036. - PubMed
-
- Zhang LL, He DL, Li X, et al. Overexpression of coxsackie and adenovirus receptor inhibit growth of human bladder cancer cell in vitro and in vivo. Acta Pharmacologica Sinica. 2007;28(6):895–900. - PubMed
Publication types
MeSH terms
Substances
LinkOut - more resources
Full Text Sources
Research Materials
