Indium lung disease
- PMID: 22207675
- PMCID: PMC3367484
- DOI: 10.1378/chest.11-1880
Indium lung disease
Abstract
Background: Reports of pulmonary fibrosis, emphysema, and, more recently, pulmonary alveolar proteinosis (PAP) in indium workers suggested that workplace exposure to indium compounds caused several different lung diseases.
Methods: To better understand the pathogenesis and natural history of indium lung disease, a detailed, systematic, multidisciplinary analysis of clinical, histopathologic, radiologic, and epidemiologic data for all reported cases and workplaces was undertaken.
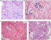
Results: Ten men (median age, 35 years) who produced, used, or reclaimed indium compounds were diagnosed with interstitial lung disease 4-13 years after first exposure (n = 7) or PAP 1-2 years after first exposure (n = 3). Common pulmonary histopathologic features in these patients included intraalveolar exudate typical of alveolar proteinosis (n = 9), cholesterol clefts and granulomas (n = 10), and fibrosis (n = 9). Two patients with interstitial lung disease had pneumothoraces. Lung disease progressed following cessation of exposure in most patients and was fatal in two. Radiographic data revealed that two patients with PAP subsequently developed fibrosis and one also developed emphysematous changes. Epidemiologic investigations demonstrated the potential for exposure to respirable particles and an excess of lung abnormalities among coworkers.
Conclusions: Occupational exposure to indium compounds was associated with PAP, cholesterol ester crystals and granulomas, pulmonary fibrosis, emphysema, and pneumothoraces. The available evidence suggests exposure to indium compounds causes a novel lung disease that may begin with PAP and progress to include fibrosis and emphysema, and, in some cases, premature death. Prospective studies are needed to better define the natural history and prognosis of this emerging lung disease and identify effective prevention strategies.
Figures



References
-
- Medvedovski E, Alvarez N, Yankov O, Olsson M. Advanced indium-tin oxide ceramics for sputtering targets. Ceram Int. 2008;34(5):1173–1182.
-
- Omae K, Nakano M, Tanaka A, Hirata M, Hamaguchi T, Chonan T. Indium lung—case reports and epidemiology. Int Arch Occup Environ Health. 2011;84(5):471–477. - PubMed
-
- Minerals Yearbook: Indium—2008. Washington, DC: US Government Printing Office; 2009. US Geological Survey; pp. 35.1–35.8.
-
- Homma T, Ueno T, Sekizawa K, Tanaka A, Hirata M. Interstitial pneumonia developed in a worker dealing with particles containing indium-tin oxide. J Occup Health. 2003;45(3):137–139. - PubMed
-
- Taguchi O, Chonan T. Three cases of indium lung [in Japanese] Nihon Kokyuki Gakkai Zasshi. 2006;44(7):532–536. - PubMed
Publication types
MeSH terms
Substances
Grants and funding
LinkOut - more resources
Full Text Sources
Medical
Research Materials