The synovium in rheumatoid arthritis
- PMID: 22279509
- PMCID: PMC3263474
- DOI: 10.2174/1874312901105010107
The synovium in rheumatoid arthritis
Abstract
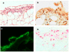
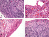
Rheumatoid arthritis (RA) is a chronic autoimmune disease targeting multiple joints. The synovium is the primary site of the inflammatory process, which if untreated leads to irreversible damage to the adjacent cartilage and bone. It is now well established that autoantibodies that are characteristic of RA, including rheumatoid factor (RF) and anti-citrulluninated protein antibodies (ACPA), are present before clinical disease onset. Studies in both humans and animal models are beginning to provide new insights into how this asymptomatic autoimmunity evolves into an inflammatory process that is localized in the synovium.Once RA synovitis established, a number of amplification mechanisms serve to sustain the process leading to the persistence of the disease. These mechanisms include engagement of the resident mesenchymal cells and the establishment of ectopic lymphoid structures in the synovium, although the relationship between these lymphoid structures and the presence of RA autoantibodies remains unclear.An enhanced understanding of the mechanisms that initiate and sustain RA synovitis offers unprecedented opportunities for therapeutics, and ultimately prevention strategies.
Keywords: Rheumatoid; innate; lymphoid neogenesis.; synovium.
Figures




References
-
- Nielen MM, van SD, Reesink HW, et al. Specific autoantibodies precede the symptoms of rheumatoid arthritis: a study of serial measurements in blood donors. Arthritis Rheum. 2004;50(2):380–6. - PubMed
-
- Rantapaa-Dahlqvist S, de Jong BA, Berglin E, et al. Antibodies against cyclic citrullinated peptide and IgA rheumatoid factor predict the development of rheumatoid arthritis. Arthritis Rheum. 2003;48(10):2741–9. - PubMed
-
- Kraan MC, Versendaal H, Jonker M, et al. Asymptomatic synovitis precedes clinically manifest arthritis. Arthritis Rheum. 1998;41(8):1481–8. - PubMed
-
- Pando JA, Duray P, Yarboro C, Gourley MF, Klippel JH, Schumacher HR. Synovitis occurs in some clinically normal and asymptomatic joints in patients with early arthritis. J Rheumatol. 2000;27(8):1848–54. - PubMed
-
- Ioan-Facsinay A, Willemze A, Robinson DB, et al. Marked differences in fine specificity and isotype usage of the anti-citrullinated protein antibody in health and disease. Arthritis Rheum. 2008;58(10):3000–8. - PubMed
LinkOut - more resources
Full Text Sources
Other Literature Sources