Classic dissection of thoracic aorta complicated by ascending aortic intramural hematoma: promt diagnosis and successful endovascular repair
- PMID: 22291714
- PMCID: PMC3265073
- DOI: 10.1155/2012/257893
Classic dissection of thoracic aorta complicated by ascending aortic intramural hematoma: promt diagnosis and successful endovascular repair
Abstract
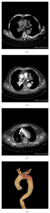
We reported a case of 68-year-old man, with a previous history of hypertension. Patient was admitted to our institution for evaluation of a severe, constant, tearing anterior chest pain radiated to the neck with suspicion of acute aortic dissection. A multidetector computed tomography scan of thorax and abdomen demonstrated a dissection starting from the middle part of aortic arch and extending downward to the descending aorta till the middle part of the thoracic aorta. The dissection was classified as Stanford A, De Bakey I. Surgical treatment of patient was started with bypass graft from the right common carotid artery to the left common carotid with subsequent revascularization of left subclavian artery. Lower parts of above-mentioned arteries were ligated. At the second stage an emergent prosthetic stent-graft was placed distally from the truncus brachiocephalicus up to the proximal part of the descending aorta. We reported a case report to present diagnostic and possible interventional treatment for patient with acute aortic type A dissection.
Figures
 
              
              
              
              
                
                
                 
              
              
              
              
                
                
                 
              
              
              
              
                
                
                References
- 
    - Noč M. Sudden excruciating chest pain—prehospital management. In: Grmec Š, Tušek-Bunc K, Kupnik D, editors. Acute Conditions: Signs, Symptoms, Syndromes, Differential Diagnosis and Management: Proceedings and Algorithms. Maribor, Slovenia: Slovene Family Medicine Society SZD; 2003. pp. 21–24.
 
- 
    - Benko D, Tretjak M, Rainer S. Cardiac tamponade resulting from acute aortic dissection type A—case report and diagnostic approach. In: Bručan A, Gričar M, Klančar S, Fink A, editors. Emergency Medicine: Selected Topics 6. Ljubljana, Slovenia: Slovenian Society for Emergency Medicine; 2000. pp. 441–446.
 
Publication types
LinkOut - more resources
- Full Text Sources
 
        