The effect of Clostridium perfringens type C strain CN3685 and its isogenic beta toxin null mutant in goats
- PMID: 22296994
- PMCID: PMC3348370
- DOI: 10.1016/j.vetmic.2012.01.005
The effect of Clostridium perfringens type C strain CN3685 and its isogenic beta toxin null mutant in goats
Abstract
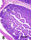
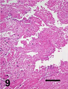
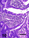
Clostridium perfringens type C is an important cause of enteritis and/or enterocolitis in several animal species, including pigs, sheep, goats, horses and humans. The disease is a classic enterotoxemia and the enteric lesions and associated systemic effects are thought to be caused primarily by beta toxin (CPB), one of two typing toxins produced by C. perfringens type C. This has been demonstrated recently by fulfilling molecular Koch's postulates in rabbits and mice. We present here an experimental study to fulfill these postulates in goats, a natural host of C. perfringens type C disease. Nine healthy male or female Anglo Nubian goat kids were inoculated with the virulent C. perfringens type C wild-type strain CN3685, an isogenic CPB null mutant or a strain where the cpb null mutation had been reversed. Three goats inoculated with the wild-type strain presented abdominal pain, hemorrhagic diarrhea, necrotizing enterocolitis, pulmonary edema, hydropericardium and death within 24h of inoculation. Two goats inoculated with the CPB null mutant and two goats inoculated with sterile culture media (negative controls) remained clinically healthy during 24h after inoculation and no gross or histological abnormalities were observed in the tissues of any of them. Reversal of the null mutation to partially restore CPB production also increased virulence; 2 goats inoculated with this reversed mutant presented clinical and pathological changes similar to those observed in goats inoculated with the wild-type strain, except that spontaneous death was not observed. These results indicate that CPB is required for C. perfringens type C to induce disease in goats, supporting a key role for this toxin in natural C. perfringens type C disease pathogenesis.
Copyright © 2012 Elsevier B.V. All rights reserved.
Conflict of interest statement
The authors express that there are no conflicts of interest that could bias the work presented in this manuscript.
Figures












References
-
- Bueschel D, Jost B, Billington S, Trinh H, Songer G. Prevalence of cpb2, encoding beta2 toxin, in Clostridium perfringens field isolates: correlation of genotype with phenotype. Vet. Microbiol. 2003;94:121–129. - PubMed
-
- Diab SS, Kinde H, Moore J, Shahriar MF, Odani J, Anthenill L, Songer G, Uzal FA. Pathology of Clostridium perfringens type C enterotoxemia in horses. Vet. Path. 2011 [Epub ahead of print] - PubMed
Publication types
MeSH terms
Substances
Grants and funding
LinkOut - more resources
Full Text Sources