Subcutaneous emphysema in cavitary pulmonary tuberculosis without pneumothorax or pneumomediastinum
- PMID: 22345920
- PMCID: PMC3276041
- DOI: 10.4103/0970-2113.92369
Subcutaneous emphysema in cavitary pulmonary tuberculosis without pneumothorax or pneumomediastinum
Abstract
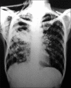
Extra-alveolar air in the form of subcutaneous tissue emphysema is observed in a variety of clinical settings. Spontaneous subcutaneous emphysema in the absence of pneumothorax or pneumomediastinum is very rare. We report a case of spontaneous subcutaneous emphysema secondary to cavitary pulmonary tuberculosis in the absence of pneumothorax or pneumomediastinum.
Keywords: Air leak; pulmonary tuberculosis; subcutaneous emphysema.
Conflict of interest statement
Figures



References
-
- Maunder RJ, Pierson DJ, Hudson LD. Subcutaneous and mediastinal emphysema- pathophysiology, diagnosis and management. Arch Intern Med. 1984;144:1447–53. - PubMed
-
- Parker GS, Mosborg DA, Foley RW, Stiernberg CM. Spontaneous cervical and mediastinal emphysema. Laryngoscope. 1990;100:938–40. - PubMed
-
- Macklin MT, Macklin CC. Malignant interstitial emphysema of lungs and mediastinum as an important occult complication in many respiratory diseases and other conditions: An interpretation of the clinical literature in the light of lab experiment. Medicine. 1944;23:281–358.
-
- Dixit R, Dave L. Pneumomediastinum with subcutaneous emphysema in a silico-tuberculosis patient. Lung India. 2007;24:102–4.
-
- Sarma OA. Subcutaneous emphysema in pulmonary tuberculosis. Indian J Chest Dis. 1967;9:236–8. - PubMed
LinkOut - more resources
Full Text Sources