Dermoid tumor of the lateral wall of the cavernous sinus
- PMID: 22347678
- PMCID: PMC3280002
- DOI: 10.4103/2152-7806.92180
Dermoid tumor of the lateral wall of the cavernous sinus
Abstract
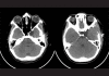
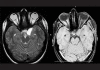
Background: Congenital intracranial dermoid tumors are very rare. The location of these dermoid lesions in the cavernous sinus and the complexity of the operative procedure for these lesions have been noted by several authors. Dermoid tumors originating in the cavernous sinus are usually interdural, and thus blurred vision is an uncommon presentation.
Case description: Herein we report the first incidental case of a cavernous sinus dermoid cyst in a 21-year-old woman.
Conclusions: A literature review was done and the possible treatments and approaches for this lesion are discussed. We consider that surgical treatment is indicated in most incidental cavernous sinus dermoid lesions due to the possible symptoms related to compression or rupture leading to chemical meningitis.
Keywords: Cavernous sinus; dermoid cyst; interdural.
Figures







References
-
- Abdelouafi A, Ousehal A, Gharbi A, Ait Benali S, El Kamar A, Kadiri R. Cavernous sinus dermoid cyst with unusual parapharyngeal development. J Neuroradiol. 2000;27:140–3. - PubMed
-
- Alvord EC., Jr Growth rates of epidermoid tumors. Ann Neurol. 1977;2:367–70. - PubMed
-
- Akdemir G, Daglioglu E, Ergungor MF. Dermoid lesion of the cavernous sinus: Case report and review of the literature. Neurosurg Ver. 2004;27:294–8. - PubMed
-
- Arseni C, Danaila L, Constantinescu AI, Carp N, Decu P. Cerebral dermoid tumors. Neurochirurgia. 1976;19:104–14. - PubMed
-
- Chen YF, Liu HM, Tu YK. Dermoid cyst as a dumbbell-shaped tumour of the cavernous sinus. Pediatr Radiol. 2003;33:72. - PubMed
Publication types
LinkOut - more resources
Full Text Sources