Feline alimentary lymphoma: 2. Further diagnostics, therapy and prognosis
- PMID: 22370861
- PMCID: PMC10822435
- DOI: 10.1177/1098612X12439266
Feline alimentary lymphoma: 2. Further diagnostics, therapy and prognosis
Erratum in
- J Feline Med Surg. 2012 May;14(5):356. Dosage error in article text
Abstract
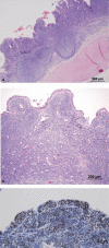
Practical relevance: Accurate diagnosis of the distinct subtypes of alimentary lymphoma (AL) that occur in cats is important as there are major differences between them in clinical presentation, treatment and prognosis. Unlike intermediate- and high-grade alimentary lymphoma (I/HGAL) and large granular lymphocyte lymphoma (LGLL), which can often be diagnosed by aspiration cytology, full-thickness intestinal biopsies are usually required for the diagnosis of low-grade alimentary lymphoma (LGAL).
Clinical challenges: LGAL is an increasingly recognised clinical problem and it can be challenging to differentiate from inflammatory disease. Where there is ambiguity on histology, further diagnostics (immunophenotyping and clonality analysis) may be required. The diagnosis of LGLL requires an index of suspicion as it may be missed with routine diagnostics. While cats with LGAL typically achieve durable remissions with oral prednisolone and chlorambucil, I/HGAL runs a more aggressive clinical course and requires multi-agent chemotherapeutic protocols. Information on the treatment of LGLL is limited and this form of AL has the poorest prognosis. Preliminary studies suggest that abdominal irradiation may potentially be of benefit in cats with AL and further investigations are warranted.
Evidence base: The evidence supporting this review is derived from grade II, III and IV prospective studies, retrospective case series, reviews, extrapolation from other species, pathophysiological justification and the combined clinical experience of those working in the field.
Conflict of interest statement
The authors declare that there is no conflict of interest.
Figures







References
-
- Wellman M, Hammer AS, DiBartola SP, Carothers MA, Kociba GJ, Rojko JL. Lymphoma involving large granular lymphocytes in cats: 11 cases (1982–1991). J Am Vet Med Assoc 1992; 201: 1265–1269. - PubMed
-
- Zwahlen CH, Lucroy MD, Kraegel SA, Madewell BR. Results of chemotherapy for cats with alimentary malignant lymphoma: 21 cases (1993–1997). J Am Vet Med Assoc 1998; 213: 1144–1149. - PubMed
-
- Mahony OM, Moore AS, Cotter SM, Engler SJ, Brown D, Penninck DG. Alimentary lymphoma in cats: 28 cases (1988–1993). J Am Vet Med Assoc 1995; 207: 1593–1597. - PubMed
-
- Franks PT, Harvey JW, Mays MC, Senior DF, Bowen DJ, Hall BJ. Feline large granular lymphoma. Vet Pathol 1986; 23: 200–202. - PubMed
Publication types
MeSH terms
LinkOut - more resources
Full Text Sources
Medical
Miscellaneous