Breast manifestations of systemic diseases
- PMID: 22371658
- PMCID: PMC3282604
- DOI: 10.2147/IJWH.S27624
Breast manifestations of systemic diseases
Abstract
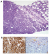
Although much emphasis has been placed on the primary presentations of breast cancer, little focus has been placed on how systemic illnesses may affect the breast. In this article, we discuss systemic illnesses that can manifest in the breast. We summarize the clinical features, imaging, histopathology, and treatment recommendations for endocrine, vascular, systemic inflammatory, infectious, and hematologic diseases, as well as for the extramammary malignancies that can present in the breast. Despite the rarity of these manifestations of systemic disease, knowledge of these conditions is critical to the appropriate evaluation and treatment of patients presenting with breast symptoms.
Keywords: breast; endocrine; hematologic; infectious; vascular.
Figures





References
-
- Ely KA, Tse G, Simpson JF, Clarfeld R, Page DL. Diabetic mastopathy: a clinicopathologic review. Am J Clin Pathol. 2000;113(4):541–545. - PubMed
-
- Gouveri E, Papanas N, Maltezos E. The female breast and diabetes. Breast. 2011;20(3):205–211. - PubMed
-
- Kudva YC, Reynolds C, O’Brien T, Powell C, Oberg AL, Crotty TB. Diabetic mastopathy, or sclerosing lymphocytic lobulitis, is strongly associated with type 1 diabetes. Diabetes Care. 2002;25(1):121–126. - PubMed
-
- Hunfeld KP, Bassler R. Lymphocytic mastitis and fibrosis of the breast in long-standing insulin-dependent diabetics: a histopathologic study on diabetic mastopathy and report of ten cases. Gen Diagn Pathol. 1997;143(1):49–58. - PubMed
-
- Sotome K, Ohnishi T, Miyoshi R, et al. An uncommon case of diabetic mastopathy in type II non-insulin dependent diabetes mellitus. Breast Cancer. 2006;13(2):205–209. - PubMed
LinkOut - more resources
Full Text Sources