Correlation between dysplasia and ploidy status in oral leukoplakia
- PMID: 22430773
- PMCID: PMC3422580
- DOI: 10.1007/s12105-012-0352-9
Correlation between dysplasia and ploidy status in oral leukoplakia
Abstract
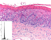
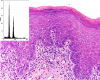
Oral leukoplakia and other potentially malignant disorders (PMD) may progress to oral squamous cell carcinoma (OSCC). The gold standard for assessing the potential for malignant transformation remains histologic examination with the aim of grading the dysplastic changes. However, not all lesions with dysplasia will progress to OSCC. DNA ploidy has been suggested as a method to predict the clinical behaviour of PMD. This study reports on the use of high-resolution flow cytometry to determine the ploidy status of formalin-fixed, paraffin-embedded material from PMD compared to their dysplasia grade on histology. Aneuploidy was found in 13 % of mild, 31 % of moderate, and 54 % of severe dysplasia cases. This difference was statistically significant (p = 0.011). The differences in ploidy status were more significant when grouping the dysplasia into low-risk and high-risk categories (p = 0.008). These findings indicate that the ploidy status of PMD as determined by high-resolution flow cytometry may be of value in predicting biological behaviour in PMD such as leukoplakia.
Figures




References
Publication types
MeSH terms
LinkOut - more resources
Full Text Sources