Dermatomyositis with extensive calcification in an adult
- PMID: 22461949
- PMCID: PMC3298200
- DOI: 10.5811/westjem.2011.8.6823
Dermatomyositis with extensive calcification in an adult
Abstract
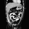
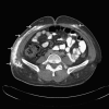
This report reviews a case of dermatomyositis presenting with weakness and extensive calcification in an adult. While dermatomyositis is not uncommon in adults, it is uncommon for calcifications to be present. Children develop calcifications more frequently than adults. When present in adults, small calcifications on areas of frequent trauma such as elbows and fingers are more common. However, this patient presented with large calcified deposits in his abdomen and extremities. His treatment and course are described.
Conflict of interest statement
Figures
References
-
- Sontheimer RD, Costner MI. Wolff K, Goldsmith LA, Katz SI, editors. Dermatomyositis. Fitzpatrick's Dermatology in General Medicine. 7th ed. New York, NY: McGraw-Hill Professional; 2007.
-
- Jorizzo J. Chapter 44: Dermatomyositis. In: Bolognia J, Jorizzo J, Rapini R, editors. Dermatology. 1st ed. Philadelphia, PA: Mosby;; 2003. pp. 115–122.
-
- Weinel S, Callen J. Calcinosis cutis complicating adult-onset dermatomyositis. Arch Dermat. 2004;140:365–366. - PubMed
-
- Redmond W, Baker S. Keloidal calcification. Arch Dermatol. 1983;119:270–272. - PubMed
-
- Dalakas M, Hohlfeld R. Polymyositis and dermatomyositis. Lancet. 2003;362:971–982. - PubMed
