Coexisting MS and Lhermitte-Duclos Disease
- PMID: 22470746
- PMCID: PMC3303393
- DOI: 10.3941/jrcr.v4i8.476
Coexisting MS and Lhermitte-Duclos Disease
Abstract
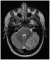
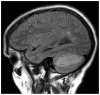
We report the case of a patient with pre-existing multiple sclerosis, who presented with horizontal diplopia, and a prior episode of progressive ataxia and dizziness lasting one week. While initially attributed to multiple sclerosis, subsequent imaging demonstrated a concurrent left cerebellar gangliocytoma, also known as Lhermitte-Duclos disease.
Keywords: Lhermitte-Duclos disease; Multiple Sclerosis; cerebellar gangliocytoma.
Figures






References
-
- Consortium of MS Centers MRI Protocol for the Diagnosis and Follow-up of MS. www.mscare.org.
-
- Grossman RI, Yousem DM. Neuroradiology: The Requisites. 2nd ed. Philadelphia: Mosby; 2003. pp. 137–138.pp. 143
-
- Robinson S, Cohen A. Cowden Disease and Lhermitte-Duclos Disease, Neurosurgery. 2000;46(2):371–83. - PubMed
-
- Osborn AG. Brain. 1st ed. Section I-6. Salt Lake City: Amirsys; 2004. Diagnostic Imaging; pp. 70–3.
LinkOut - more resources
Full Text Sources