The coral reef aorta - a single centre experience in 70 patients
- PMID: 22477301
- PMCID: PMC2733021
- DOI: 10.1055/s-0031-1278258
The coral reef aorta - a single centre experience in 70 patients
Abstract
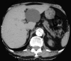
Coral reef aorta (CRA) is described as rock-hard calcifications in the visceral part of the aorta. These heavily calcified plaques grow into the lumen and can cause significant stenoses, which may lead to malperfusion of the lower limbs, visceral ischemia or hypertension due to renal ischemia. From January 1984 to February 2007, 70 patients (24 men, 46 women, mean age 59.5 years, range 14 to 81 years) underwent treatment in the Department of Vascular Surgery and Renal Transplantation, University Hospital, Heinrich-Heine-University (Düsseldorf, Germany) for CRA. The present study is based on a review of patients' records and the prospective follow-up in the outpatient clinic. The most frequent finding was renovascular arterial hypertension (44.3%) causing headache, vertigo and visual symptoms. Intermittent claudication due to peripheral arterial occlusive disease was found in 28 patients (40.0%). Seventeen patients (24.3%) presented with chronic visceral ischemia causing diarrhea, weight loss and abdominal pain. Sixty-nine of the 70 patients (98.6%) underwent surgery; in 57 patients, aortic reconstruction was achieved with thromboendarterectomy, performed on an isolated suprarenal segment in six cases (8.7%), an infrarenal segment in 15 cases (21.7%), and the supra- and infrarenal aorta in 43 cases (62.3%). Eight patients (11.6%) died during or soon after surgery. Postoperative complications requiring corrective surgery occurred in 11 patients (15.9%). Almost one-third of the patients (n=19, 27.5%) returned for follow-up after a mean of 52.6 months (range six to 215 months). Of the 19 patients, there was significant clinical and diagnostic improvement in 16 patients (84.2%) and three patients (15.8%) were unchanged. Impairment was not observed. Despite the existing and improving surgical techniques for the treatment of CRA, its pathophysiological basis and genesis is not yet understood.
Figures






References
-
- Heberer G, van Dongen RJAM, editors. Gefäßchirurgie. Heidelberg: Springer-Verlag; 1987.
-
- Vollmar J. Rekonstruktive Chirurgie der Arterien. 4th edn. Stuttgart: Thieme Verlag; 1996.
-
- Harbison SP. Arteriosclerotic occlusion of the aorta: A case presenting an unusual location. Surgery. 1957;41:488–90. - PubMed
-
- De Bakey ME, Cullen SC. Year book of general surgery 1957–1958. Chicago: Year Book Medical Publishers; 1958. p. 247. (Edit)
-
- Sako Y. Arteriosclerotic occlusion of the midabdominal aorta. Surgery. 1966;59:709–12. - PubMed
LinkOut - more resources
Full Text Sources