Chest CT features of North American paragonimiasis
- PMID: 22528896
- PMCID: PMC3832351
- DOI: 10.2214/AJR.11.7530
Chest CT features of North American paragonimiasis
Erratum in
- AJR Am J Roentgenol. 2013 Nov;201(5):1165
Abstract
Objective: The purpose of this study was to characterize the chest CT findings of North American paragonimiasis due to Paragonimus kellicotti in the largest (to our knowledge) case series reported to date and to compare the findings with those reported for paragonimiasis infections in other regions.
Materials and methods: A retrospective review was performed of chest CT examinations of eight patients with North American paragonimiasis treated at our institution between 2006 and 2010. Findings were characterized by site of involvement, including lungs and pleura, heart and pericardium, lymph nodes, and upper abdomen.
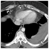
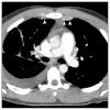
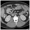
Results: The most common chest CT findings in this case series were pleural effusions and internal mammary and cardiophrenic lymphadenopathy. Pulmonary parenchymal findings included peripheral lung nodules of 1-3.5 cm in size with surrounding ground-glass opacity; many nodules had a linear track to the pleural surface that may correspond to the worm's burrow tunnel. Pericardial involvement (5/8 patients) and omental inflammation (5/7 patients), which are uncommon in Asian paragonimiasis, were common in this series.
Conclusion: Pleural and pulmonary features of North American paragonimiasis are generally similar to those reported from Asia. The presence of a track between a pulmonary nodule and the pleura may help distinguish paragonimiasis from mimickers, including chronic eosinophilic pneumonia, tuberculosis, fungal infection, or malignancy. Pericarditis, lymphadenopathy, and omental inflammation were more common in our series than in reports on paragonimiasis from other regions. These differences may be related to the infecting parasite species or to the fact that radiologic examinations in the present series were performed relatively early in the course of infection.
Figures








References
-
- Im JG, Whang HY, Kim WS, Han MC, Shim YS, Cho SY. Pleuropulmonary paragonimiasis: radiologic findings in 71 patients. AJR. 1992;159:39–43. - PubMed
-
- Kim TS, Han J, Shim SS, et al. Pleuropulmonary paragonimiasis: CT findings in 31 patients. AJR. 2005;185:616–621. - PubMed
-
- Im JG, Kong Y, Shin YM, et al. Pulmonary paragonimiasis: clinical and experimental studies. RadioGraphics. 1993;13:575–586. - PubMed
-
- Singcharoen T, Silprasert W. CT findings in pulmonary paragonimiasis. J Comput Assist Tomogr. 1987;11:1101–1102. - PubMed
Publication types
MeSH terms
Grants and funding
LinkOut - more resources
Full Text Sources
Medical