Skip to main page content
U.S. flag

An official website of the United States government

Dot gov

The .gov means it’s official.
Federal government websites often end in .gov or .mil. Before sharing sensitive information, make sure you’re on a federal government site.

Https

The site is secure.
The https:// ensures that you are connecting to the official website and that any information you provide is encrypted and transmitted securely.

Access keys NCBI Homepage MyNCBI Homepage Main Content Main Navigation
. 2012 Apr 24;3(3):e00035-12.
doi: 10.1128/mBio.00035-12. Print 2012.

Nontypeable pneumococci can be divided into multiple cps types, including one type expressing the novel gene pspK

Affiliations

Nontypeable pneumococci can be divided into multiple cps types, including one type expressing the novel gene pspK

In Ho Park et al. mBio. .

Abstract

Although virulence of Streptococcus pneumoniae is associated with its capsule, some pathogenic S. pneumoniae isolates lack capsules and are serologically nontypeable (NT). We obtained 64 isolates that were identified as NT "pneumococci" (i.e., bacteria satisfying the conventional definition but without the multilocus sequence typing [MLST]-based definition of S. pneumoniae) by the traditional criteria. All 64 were optochin sensitive and had lytA, and 63 had ply. Twelve isolates had cpsA, suggesting the presence of a conventional but defective capsular polysaccharide synthesis (cps) locus. The 52 cpsA-negative isolates could be divided into three null capsule clades (NCC) based on aliC (aliB-like ORF1), aliD (aliB-like ORF2), and our newly discovered gene, pspK, in their cps loci. pspK encodes a protein with a long alpha-helical region containing an LPxTG motif and a YPT motif known to bind human pIgR. There were nine isolates in NCC1 (pspK(+) but negative for aliC and aliD), 32 isolates in NCC2 (aliC(+) aliD(+) but negative for pspK), and 11 in NCC3 (aliD(+) but negative for aliC and pspK). Among 52 cpsA-negative isolates, 41 were identified as S. pneumoniae by MLST analysis. All NCC1 and most NCC2 isolates were S. pneumoniae, whereas all nine NCC3 and two NCC2 isolates were not S. pneumoniae. Several NCC1 and NCC2 isolates from multiple individuals had identical MLST and cps regions, showing that unencapsulated S. pneumoniae can be infectious among humans. Furthermore, NCC1 and NCC2 S. pneumoniae isolates could colonize mice as well as encapsulated S. pneumoniae, although S. pneumoniae with an artificially disrupted cps locus did not. Moreover, an NCC1 isolate with pspK deletion did not colonize mice, suggesting that pspK is critical for colonization. Thus, PspK may provide pneumococci a means of surviving in the nasopharynx without capsule. IMPORTANCE The presence of a capsule is critical for many pathogenic bacteria, including pneumococci. Reflecting the pathogenic importance of the pneumococcal capsule, pneumococcal vaccines are designed to elicit anticapsule antibodies. Additional evidence for the pathogenic importance of the pneumococcal capsule is the fact that in pneumococci all the genes necessary for capsule production are together in one genetic locus, which is called the cps locus. However, there are occasional pathogenic pneumococci without capsules, and how they survive in the host without the capsule is unknown. Here, we show that in these acapsular pneumococci, the cps loci have been replaced with various novel genes and they can colonize mouse nasopharynges as well as capsulated pneumococci. Since the genes that replace the cps loci are likely to be important in host survival, they may show new and/or alternative capsule-independent survival mechanisms used by pneumococci.

PubMed Disclaimer

Figures

FIG 1
FIG 1
A neighbor-joining tree of the MLST sequences of various species in the mitis group in published studies (all open symbols and two solid symbols) and from our study (remaining solid symbols). The two solid symbols from published studies are labeled 110.58 (ST344) (8) and S. mitis B6 (GenBank accession no. FN568063). Data from published studied were used to provide reference points. The symbols indicate S. pneumoniae, S. pseudopneumoniae, S. mitis, NCC1, NCC2, and NCC3. The two short arrows indicate strains MNZ1053 and MNZ1065, which express NCC2b (Table 1). The 52 group II NT isolates contained only 17 unique STs (bold letters in Table 1), and the 17 unique STs are shown in the tree. The tree was constructed with the concatenated sequence (2,751 bp) of 6 of the 7 DNA loci used for MLST by using the method for minimum evolution. The bar indicates 0.005 substitution per site. Bootstrap values are shown for each branch.
FIG 2
FIG 2
Diagrammatic representation of the cps regions of unencapsulated strains. aliC, aliD, and cap indicate aliB-like ORF1, aliB-like ORF2, and the capN-like region, respectively (8). tnp denotes a transposon-like insert. The cps regions were sequenced and analyzed for MNZ11, MNZ37, and MNZ67 in NCC1; MNZ14, MNZ41, MNZ85, MNZ89, MNZ130, MNZ814, MNZ818, MNZ1053, and MNZ1065 in NCC2; and MNZ1049, MNZ1050, and MNZ1063 in NCC3. Diagrams of the published sequences of 110.58 (NCC2a), 104.72 (NCC2b), 208.56 (NCC3), and S. mitis B6 (NCC3) (GenBank accession no. AY653209 to AY653212 and FN568063) are shown for comparison purpose. The numbers of bases in parentheses are the complete sequence sizes. MNZ1049 and MNZ1063 cps sequences are incomplete due to technical problems encountered during repeated sequencing attempts; their size estimates are based on electrophoresis of their PCR products.
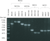
FIG 3
FIG 3
Electrophoresis patterns of the PCR products of the cps regions of group II unencapsulated strains. PCR was performed with primer sets 5419 and 3419 (Table 2).
FIG 4
FIG 4
Predicted amino acid sequence of the ORF of PspK from MNZ37 (A) and schematic diagram of the PspK of MNZ37 (B). The ORF encodes a 534-aa polypeptide with a signal peptide (1 to 31), an alpha-helical region (39 to 475), and an LPXTG motif. The alpha-helical region from bases 113 to 279 resembles the R1 domain of pspC and has a YPT motif, which is associated with binding to the human secretory component. The repeat region between bases 279 and 475 has 26 repeats of (E)EEAK(R/Q)K.
FIG 5
FIG 5
Nasopharyngeal carriage of S. pneumoniae in mice. C57BL/6 mice were inoculated with six S. pneumoniae strains (x axis), and pneumococci were recovered 5 days later from the nasal wash (A and B) and nasal tissue (C and D). Each group is identified with the names of the respective bacterial strains and descriptions of their cps loci. No mice died during the experiment, and each data point indicates an individual animal. Open symbols show results from the first experiment, and solid symbols show results from the second. The horizontal bars indicate the median for the group. The dotted lines indicate the detection limit, which is 40 CFU/mouse. Symbols below the dotted lines were arbitrarily placed to show individual data points. The Mann-Whitney test was used to obtain P values.

References

    1. Henrichsen J. 1995. Six newly recognized types of Streptococcus pneumoniae. J. Clin. Microbiol. 33:2759–2762 - PMC - PubMed
    1. Avery OT, Dubos R. 1931. The protective action of a specific enzyme against type III pneumococcus infection in mice. J. Exp. Med. 54:73–89 - PMC - PubMed
    1. Kim JO, Weiser JN. 1998. Association of intrastrain phase variation in quantity of capsular polysaccharide and teichoic acid with the virulence of Streptococcus pneumoniae. J. Infect. Dis. 177:368–377 - PubMed
    1. Park IH, et al. 2007. Discovery of a new capsular serotype (6C) within serogroup 6 of Streptococcus pneumoniae. J. Clin. Microbiol. 45:1225–1233 - PMC - PubMed
    1. Bentley SD, et al. 2006. Genetic analysis of the capsular biosynthetic locus from all 90 pneumococcal serotypes. PLoS Genet. 2:e31 - PMC - PubMed

Publication types

MeSH terms

Substances