A late recurring and easily forgotten tumor: ovarian granulosa cell tumor
- PMID: 22591557
- PMCID: PMC3536587
- DOI: 10.1186/1477-7819-10-85
A late recurring and easily forgotten tumor: ovarian granulosa cell tumor
Abstract
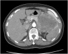
Ovarian granulosa cell tumor (GCT) is a malignant tumor with slow progression. The recurrence of granulosa cell tumor often happens after 5 years, leading to a 'forgotten tumor' by the patient. We present the case of a 64-year-old woman with a presentation of left flank pain. An initial computed tomography scan revealed a single tumor with multiple adjacent organ invasions. Surgical intervention was prescribed and the pathological results revealed a metastatic granulosa cell tumor. We also review the literature for the follow-up and further management of this tumor.
Figures
 
              
              
              
              
                
                
                 
              
              
              
              
                
                
                 
              
              
              
              
                
                
                 
              
              
              
              
                
                
                References
Publication types
MeSH terms
LinkOut - more resources
- Full Text Sources
- Medical
 
        