An unusual cause of limp
- PMID: 22604205
- PMCID: PMC3339175
- DOI: 10.1136/bcr.11.2011.5229
An unusual cause of limp
Abstract
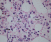
Limp is a common clinical presentation in children, seen both in acute and community practice. The incidence is thought to vary between countries with suggested figures between 1.5 and 3.6 cases of non-traumatic limp per 1000 children. The authors present a case of a 6-year-old girl who attended our accident and emergency department with limp. It has been suggested that the most common diagnoses in our patient's age group are transient synovitis, septic arthritis, osteomyelitis, Perthe's disease and fractures or soft tissue injuries. Surprisingly our patient was diagnosed with haemophagocytic lymphohistiocytosis, for which limp is not a recognised presenting feature.
Conflict of interest statement
Figures



References
Publication types
MeSH terms
Substances
LinkOut - more resources
Full Text Sources
Medical