Polyarteritis nodosa with bilateral asynchronous testicular necrosis: a case report
- PMID: 22606613
- PMCID: PMC3350072
- DOI: 10.1155/2011/465353
Polyarteritis nodosa with bilateral asynchronous testicular necrosis: a case report
Abstract
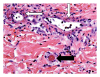
Polyarteritis nodosa (PAN) is a systemic vasculitis which may result in thrombosis or aneurysm formation in any organ of the body. We report a case polyarteritis nodosa (PAN) resulting in bilateral asynchronous testicular necrosis. A 55-year-old male developed acute onset of left testicular pain resulting in a left orchiectomy and right orchidopexy for an ischemic left testicle without evidence of torsion. Three weeks later, the patient developed acute right-sided scrotal pain, and surgical exploration revealed a right necrotic testicle resulting in a right orchiectomy. Pathologic evaluations demonstrated benign testes with acute interstitial hemorrhage and focal atrophy. The patient also experienced abdominal skin necrosis, penile pain and swelling, and temporary loss of vision. This is a unique case of PAN and the only case of asynchronous testicular necrosis in the medical literature.
Figures



References
-
- Teichman JMH, Mattrey RF, Demby AM, Schmidt JD. Polyarteritis nodosa presenting as acute orchitis: a case report and review of the literature. Journal of Urology. 1993;149(5):1139–1140. - PubMed
-
- Albert DA, Rimon D, Silverstein MD. The diagnosis of polyarteritis nodosa. I. A literature-based decision analysis approach. Arthritis and Rheumatism. 1988;31(9):1117–1127. - PubMed
-
- Stone JH. Polyarteritis nodosa. Journal of the American Medical Association. 2002;288(13):1632–1639. - PubMed
-
- Besbas N, Ozen S, Saatci U, Topaloğlu R, Tinaztepe K, Bakkaloglu A. Renal involvement in polyarteritis nodosa: evaluation of 26 Turkish children. Pediatric Nephrology. 2000;14(4):325–327. - PubMed
Publication types
LinkOut - more resources
Full Text Sources