cis-Acting elements that control expression of the master virulence regulatory gene atxA in Bacillus anthracis
- PMID: 22636778
- PMCID: PMC3416520
- DOI: 10.1128/JB.00776-12
cis-Acting elements that control expression of the master virulence regulatory gene atxA in Bacillus anthracis
Abstract
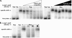
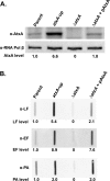
Transcription of the Bacillus anthracis structural genes for the anthrax toxin proteins and biosynthetic operon for capsule is positively regulated by AtxA, a transcription regulator with unique properties. Consistent with the role of atxA in virulence factor expression, a B. anthracis atxA-null mutant is avirulent in a murine model for anthrax. In culture, multiple signals impact atxA transcript levels, and the timing and steady-state level of atxA expression are critical for optimal toxin and capsule synthesis. Despite the apparent complex control of atxA transcription, only one trans-acting protein, the transition state regulator AbrB, has been demonstrated to interact directly with the atxA promoter. Here we employ 5' and 3' deletion analysis and site-directed mutagenesis of the atxA control region to demonstrate that atxA transcription from the major start site P1 is dependent upon a consensus sequence for the housekeeping sigma factor SigA and an A+T-rich upstream element for RNA polymerase. We also show that an additional trans-acting protein(s) binds specifically to atxA promoter sequences located between -13 and +36 relative to P1 and negatively impacts transcription. Deletion of this region increases promoter activity up to 15-fold. Site-directed mutagenesis of a 9-bp palindromic sequence within the region prevents binding of the trans-acting protein(s), increasing promoter activity 7-fold and resulting in a corresponding increase in AtxA and anthrax toxin production. Notably, an atxA promoter mutant that produced elevated levels of AtxA and toxin proteins during culture was unaffected for virulence in a murine model for anthrax.
Figures
References
-
- Agaisse H, Lereclus D. 1994. Structural and functional analysis of the promoter region involved in full expression of the cryIIIA toxin gene of Bacillus thuringiensis. Mol. Microbiol. 13:97–107 - PubMed
-
- Arantes O, Lereclus D. 1991. Construction of cloning vectors for Bacillus thuringiensis. Gene 108:115–119 - PubMed
-
- Ausubel FM. 1993. Current protocols in molecular biology. Wiley-Interscience, New York, NY
-
- Bertin M, Chateau A, Fouet A. 2010. Full expression of Bacillus anthracis toxin gene in the presence of bicarbonate requires a 2.7-kb-long atxA mRNA that contains a terminator structure. Res. Microbiol. 161:249–259 - PubMed
Publication types
MeSH terms
Substances
Grants and funding
LinkOut - more resources
Full Text Sources
