Bile duct leaks from the intrahepatic biliary tree: a review of its etiology, incidence, and management
- PMID: 22645406
- PMCID: PMC3356893
- DOI: 10.1155/2012/752932
Bile duct leaks from the intrahepatic biliary tree: a review of its etiology, incidence, and management
Abstract
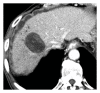
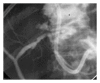
Bile leaks from the intrahepatic biliary tree are an important cause of morbidity following hepatic surgery and trauma. Despite reduction in mortality for hepatic surgery in the last 2 decades, bile leaks rates have not changed significantly. In addition to posted operative bile leaks, leaks may occur following drainage of liver abscess and tumor ablation. Most bile leaks from the intrahepatic biliary tree are transient and managed conservatively by drainage alone or endoscopic biliary decompression. Selected cases may require reoperation and enteric drainage or liver resection for management.
Figures






References
-
- Connor S, Garden OJ. Bile duct injury in the era of laparoscopic cholecystectomy. British Journal of Surgery. 2006;93(2):158–168. - PubMed
-
- Hogan AM, Hoti E, Winter DC, et al. Quality of life after iatrogenic bile duct injury: a case control study. Annals of Surgery. 2009;249(2):292–295. - PubMed
-
- Nuzzo G, Giuliante F, Giovannini I, et al. Bile duct injury during laparoscopic cholecystectomy: results of an Italian National Survey on 56 591 cholecystectomies. Archives of Surgery. 2005;140(10):986–992. - PubMed
-
- Pachter HL, Hofstetter SR. The current status of nonoperative management of adult blunt hepatic injuries. American Journal of Surgery. 1995;169(4):442–454. - PubMed
-
- Carrillo EH, Spain DA, Wohltmann CD, et al. Interventional techniques are useful adjuncts in nonoperative management of hepatic injuries. Journal of Trauma. 1999;46(4):619–624. - PubMed
LinkOut - more resources
Full Text Sources