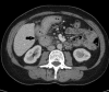
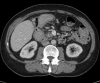
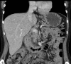
Rare presentation of primary coloduodenal fistula
- PMID: 22666526
- PMCID: PMC3365784
- DOI: 10.1258/shorts.2011.011132
Rare presentation of primary coloduodenal fistula
Figures









References
-
- Ng CKD, Cheung YSH, Wong CHJ, Li KWM Coloduodenal fistula: a rare complication of right-sided diverticulitis. Singapore Med J 2009;50:e220 - PubMed
-
- Joshi Rajeev M, Darbari Ashutosh, Wagle Prasad K Benign duodenocolic fistula. Bombay Hospital Journal. 2000;42
-
- Benn Marianne, Nielsen Finn Thomsen, Antonsen Henning Kold Benign duodenocolic fistula-metabolic acidosis-pepticulcer disease. Digestive disease and sciences. 1997;42:345–347 - PubMed
Publication types
LinkOut - more resources
Full Text Sources