Hepatic sarcoidosis presenting as portal hypertension and liver cirrhosis: case report and review of the literature
- PMID: 22679408
- PMCID: PMC3364039
- DOI: 10.1159/000338355
Hepatic sarcoidosis presenting as portal hypertension and liver cirrhosis: case report and review of the literature
Abstract
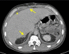
Systemic sarcoidosis is a disease of unknown etiology, with the liver being the third most commonly affected organ. Most cases of hepatic sarcoidosis are not clinically apparent, but a few can progress to liver cirrhosis, portal hypertension and ultimately liver failure. The diagnosis of hepatic sarcoidosis is difficult, considering that no single laboratory test or radiographic finding can definitively diagnose this systemic disease. Diagnosis of hepatic sarcoidosis relies heavily on histopathologic evaluation of two or more organs, a diagnostic modality that is invasive and may not be applicable to all patients. The treatment of hepatic sarcoidosis is challenging, with no large randomized controlled trials done to date. Physicians must be aware of the complications of hepatic sarcoidosis, and must include the same in the differential diagnosis of liver cirrhosis. We present a case of hepatic sarcoidosis complicated by portal hypertension and liver cirrhosis.
Keywords: Extrapulmonary sarcoidosis; Gastrointestinal sarcoidosis; Hepatic sarcoidosis; Hepatic sarcoidosis and liver cirrhosis; Hepatic sarcoidosis and portal hypertension; Liver cirrhosis; Portal hypertension.
Figures
References
-
- Blich M, Edoute Y. Clinical manifestations of sarcoid liver disease. J Gastroenterol Hepatol. 2004;19:732–737. - PubMed
-
- Cremers J, et al. Liver-test abnormalities in sarcoidosis. Eur J Gastroenterol Hepatol. 2012;24:17–24. - PubMed
-
- Ebert EC, Kierson M, Hagspiel KD. Gastrointestinal and hepatic manifestations of sarcoidosis. Am J Gastroenterol. 2008;103:3184–3192. quiz 3193. - PubMed
-
- Gavilan F, et al. Hepatic cirrhosis with sarcoid granulomas. Differential diagnosis and liver transplantation: a case report. Transplant Proc. 2003;35:713–714. - PubMed
-
- Malhotra A, Naniwadekar A, Sood G. Hepatobiliary and pancreatic: cirrhosis secondary to hepatic sarcoidosis. J Gastroenterol Hepatol. 2008;23:1942. - PubMed
Publication types
LinkOut - more resources
Full Text Sources
