Skip to main page content
U.S. flag

An official website of the United States government

Dot gov

The .gov means it’s official.
Federal government websites often end in .gov or .mil. Before sharing sensitive information, make sure you’re on a federal government site.

Https

The site is secure.
The https:// ensures that you are connecting to the official website and that any information you provide is encrypted and transmitted securely.

Access keys NCBI Homepage MyNCBI Homepage Main Content Main Navigation
Case Reports
. 2011 Jul 7:2011:bcr0420114109.
doi: 10.1136/bcr.04.2011.4109.

Pyomyositis after vaginal delivery

Affiliations
Case Reports

Pyomyositis after vaginal delivery

Eve Gaughan et al. BMJ Case Rep. .

Abstract

Pyomyositis is a purulent infection of skeletal muscle that arises from haematogenous spread, usually with abscess formation. It can develop after a transient bacteraemia of any cause. This type of infection has never been reported before in the literature after vaginal delivery. A 34-year-old woman had progressive severe pain in the left buttock and thigh and weakness in the left lower limb day 1 post spontaneous vaginal delivery. MRI showed severe oedema of the left gluteus, iliacus, piriformis and adductor muscles of the left thigh and a small fluid collection at the left hip joint. She was diagnosed with pyomyositis. She had fever of 37.9°C immediately postpartum and her risk factors for bacteraemia were a mild IV cannula-associated cellulitis and labour itself. She required prolonged treatment with antibiotics before significant clinical improvement was noted.

PubMed Disclaimer

Conflict of interest statement

Competing interests None.

Figures

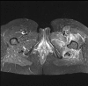
Figure 1
Figure 1
An axial MRI T-2 weighted image with fat-saturation which demonstrates diffuse high signal abnormality in the left anterior, posterior and medial compartments of the thigh (TE 32 ms TR 3500).
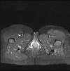
Figure 2
Figure 2
An axial T-2 weighted sequence with fat-saturation (TE 32 ms TR 3500) which demonstrates no residual signal abnormality on follow-up 10 months later.

References

    1. Yansouni CP, Ponette V, Rouleau D. Bacterial sacroiliitis and gluteal abscess after dilation and curettage for incomplete abortion. Obstet Gynecol 2009;114(2 Pt 2):440–3 - PubMed
    1. Struthers GR, Scott DL, Farr M. Septic arthritis and thigh abscess after dilatation and curettage. Clin Rheumatol 1984;3:71–3 - PubMed
    1. Scheepers NJ, van Bommel PF, Bleker OP. Psoas abscess related to spontaneous abortion, intra-uterine contraceptive device and curettage. Acta Obstet Gynecol Scand 1993;72:223–4 - PubMed
    1. Sacks PC, Tchabo JG. Incidence of bacteremia at dilation and curettage. J Reprod Med 1992;37:331–4 - PubMed

Publication types