First Report of a Single Exon Deletion in TCOF1 Causing Treacher Collins Syndrome
- PMID: 22712005
- PMCID: PMC3326662
- DOI: 10.1159/000335545
First Report of a Single Exon Deletion in TCOF1 Causing Treacher Collins Syndrome
Abstract
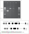
Treacher Collins syndrome (TCS) is a rare craniofacial disorder characterized by facial anomalies and ear defects. TCS is caused by mutations in the TCOF1 gene and follows autosomal dominant inheritance. Recently, mutations in the POLR1D and POLR1C genes have also been identified to cause TCS. However, in a subset of patients no causative mutation could be found yet. Inter- and intrafamilial phenotypic variability is high as is the variety of mainly family-specific mutations identified throughout TCOF1. No obvious correlation between pheno- and genotype could be observed. The majority of described point mutations, small insertions and deletions comprising only a few nucleotides within TCOF1 lead to a premature termination codon. We investigated a cohort of 112 patients with a tentative clinical diagnosis of TCS by multiplex ligation-dependent probe amplification (MLPA) to search for larger deletions not detectable with other methods used. All patients were selected after negative screening for mutations in TCOF1, POLR1D and POLR1C. In 1 patient with an unequivocal clinical diagnosis of TCS, we identified a 3.367 kb deletion. This deletion abolishes exon 3 and is the first described single exon deletion within TCOF1. On RNA level we observed loss of this exon which supposedly leads to haploinsufficiency of TREACLE, the nucleolar phosphoprotein encoded by TCOF1.
Figures




References
-
- Cartegni L, Chew SL, Krainer AR. Listening to silence and understanding nonsense: exonic mutations that affect splicing. Nat Rev Genet. 2002;3:285–298. - PubMed
-
- Dauwerse JG, Dixon J, Seland S, Ruivenkamp CA, van Haeringen A, et al. Mutations in genes encoding subunits of RNA polymerases I and III cause Treacher Collins syndrome. Nat Genet. 2011;43:20–22. - PubMed
-
- Dixon J, Ellis I, Bottani A, Temple K, Dixon MJ. Identification of mutations in TCOF1: use of molecular analysis in the pre- and postnatal diagnosis of Treacher Collins syndrome. Am J Med Genet A. 2004;127A:244–248. - PubMed
-
- Dixon J, Trainor P, Dixon MJ. Treacher Collins syndrome. Orthod Craniofac Res. 2007;10:88–95. - PubMed
LinkOut - more resources
Full Text Sources
Other Literature Sources