Hurthle cell carcinoma of the thyroid
- PMID: 22715205
- PMCID: PMC3062876
- DOI: 10.1136/bcr.11.2010.3536
Hurthle cell carcinoma of the thyroid
Abstract
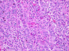
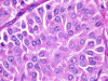
A 63-year-old man consulted for a non-toxic thyroid nodule of 2 years' duration. Fine needle aspiration revealed cell findings consistent with papillary thyroid carcinoma. He eventually underwent total thyroidectomy. Microscopic examination revealed histologic features of Hurthle cell carcinoma of the thyroid. He received radioactive iodine therapy and suppressive levothyroxine treatment. Post-therapy whole body iodine-131 scan revealed thyroid tissue remnants limited to the anterior neck. Four months after radioactive iodine therapy, thyroglobulin level is low and the patient remains to have no evidence of disease.
Conflict of interest statement
Figures





References
-
- Friedman NB. Cellular involution in the thyroid gland; significance of Hürthle cells in myxedema, exhaustion atrophy, Hashimoto's disease and the reactions to irradiation, thiouracil therapy and subtotal resection. J Clin Endocrinol Metab 1949;9:874–82 - PubMed
-
- Nesland JM, Sobrinho-Simões MA, Holm R, et al. Hürthle-cell lesions of the thyroid: a combined study using transmission electron microscopy, scanning electron microscopy, and immunocytochemistry. Ultrastruct Pathol 1985;8:269–90 - PubMed
-
- Sobrinho-Simões MA, Nesland JM, Holm R, et al. Hürthle cell and mitochondrion-rich papillary carcinomas of the thyroid gland: an ultrastructural and immunocytochemical study. Ultrastruct Pathol 1985;8:131–42 - PubMed
-
- Chen KTK. Fine-needle aspiration cytology of papillary hurthle-cell tumors of the thyroid: a report of three cases. Diagn Cytopathol 1991;7:53–6 - PubMed
Publication types
MeSH terms
Supplementary concepts
LinkOut - more resources
Full Text Sources
Medical